跳至主要內容
首頁
關於我
主治項目
隱形矯正
金屬矯正
兒童及青少年矯正
成人矯正
全口矯正合併正顎手術
案例分享
齒列擁擠
齒間縫隙
暴牙
開咬
深咬
錯咬
戽斗
笑齦
兒童早期矯正
數位隱形矯正
正顎手術
困難病例
跨科聯合治療
再次治療
局部治療
醫師專欄
矯正諮詢流程
矯正知識與常見Q&A
隱適美衛教專區
骨釘
維持器
預約諮詢
首頁
關於我
主治項目
隱形矯正
金屬矯正
兒童及青少年矯正
成人矯正
全口矯正合併正顎手術
案例分享
齒列擁擠
齒間縫隙
暴牙
開咬
深咬
錯咬
戽斗
笑齦
兒童早期矯正
數位隱形矯正
正顎手術
困難病例
跨科聯合治療
再次治療
局部治療
醫師專欄
矯正諮詢流程
矯正知識與常見Q&A
隱適美衛教專區
骨釘
維持器
預約諮詢
局部治療
局部治療
,
案例分享
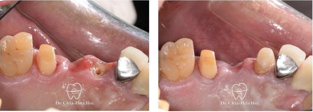
大臼齒過度萌發、長期缺牙
成人矯正 | 金屬矯正 | 局部治療 | 骨釘骨板
局部治療
,
案例分享
齒質不足、強逼萌出術
成人矯正 | 金屬矯正 | 局部治療 | 強逼萌出術
error:
Content is protected !!