大臼齒過度萌發、長期缺牙

成人矯正 | 金屬矯正 | 局部治療 | 骨釘骨板
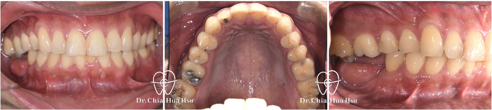
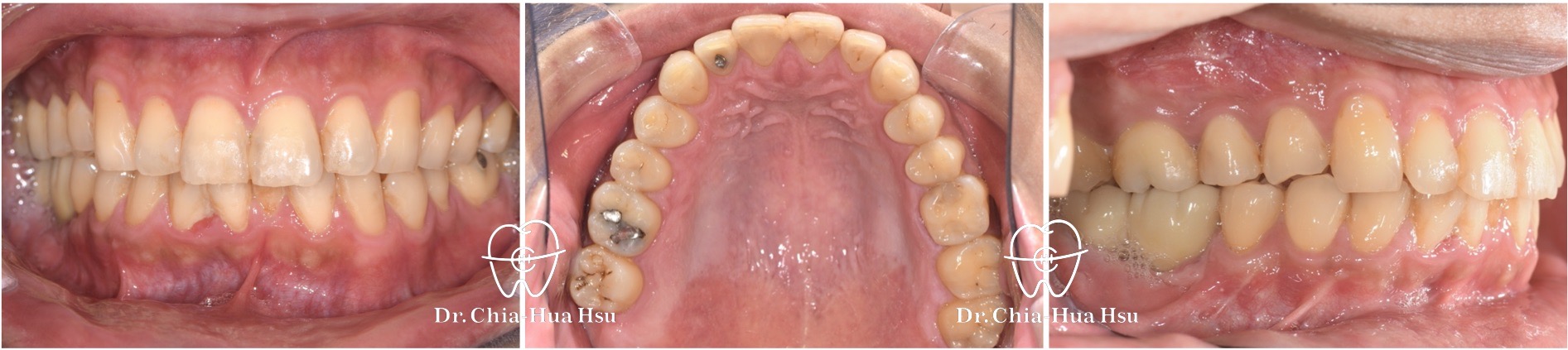
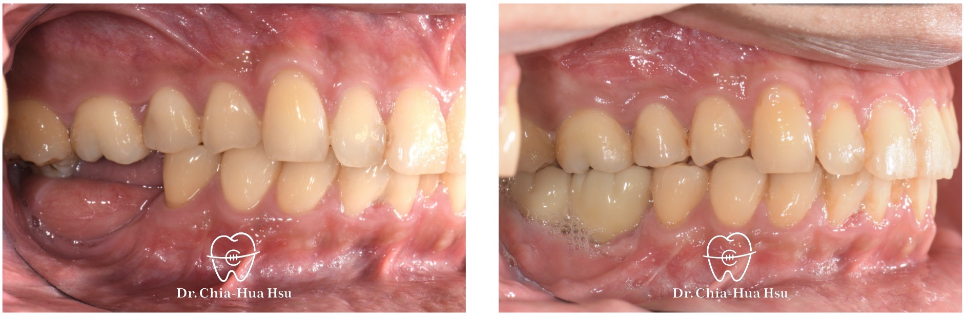
  • 病患主訴:配合植牙與假牙製作,進行局部矯正治療。
  • 問題分析:患者有齒列擁擠狀況,還有因長期缺牙導致大臼齒過度萌發的問題。
  • 治療方式:使用局部金屬矯正器,搭配骨釘骨板,進行局部矯正治療。
  • 治療時間:1 年。
  • 治療結果:改善上顎大臼齒排列,提供足夠空間給下顎植牙與假牙製作。
治療前
治療後
治療前
治療後
  • 治療過程:治療過程中,上顎頰側及顎側使用骨釘與骨板,配合局部金屬矯正器,將後牙往上壓入齒槽骨。把咬合平面拉齊後,下顎騰出植牙與製作假牙的空間。
治療中
治療前
治療後
治療前
治療後
Picture of 許家樺醫師

許家樺醫師

身為齒顎矯正專科醫師,我期許自己保持著細膩度和同理心去面對我的病人,並且不斷精進齒顎矯正學術和技術上的細節,提供病人更全方位的治療。

關於許醫師 »
Picture of 許家樺醫師

許家樺醫師

身為齒顎矯正專科醫師,我期許自己保持著細膩度和同理心去面對我的病人,並且不斷精進隱形矯正學術和技術上的細節,提供病人更全方位的治療。

關於許醫師 »
error: Content is protected !!