矯正知識與常見Q&A

目錄

為什麼要做矯正?

  • 改善牙齒排列(美觀):讓牙齒整齊,也讓笑容更協調、更好看。
  • 改善咬合功能(功能):提升咀嚼效率、減少牙齒過度磨耗、改善發音與下顎關節壓力。
  • 為假牙或植牙製造空間(重建需求):對於缺牙或牙齒位置不佳的患者,矯正可先調整牙位,為後續植牙或是假牙創造理想的空間與角度。
  • 提升口腔健康(健康):牙齒整齊後更容易清潔,可降低蛀牙、牙周病風險。
  • 增加外觀自信(心理):整齊的牙齒與良好笑容能提升自信,改善社交與職場互動。

牙齒矯正需要多久?

  • 一般牙齒矯正約需 1.5~2 年,輕度不整齊可能 6–12 個月,中度常見為 1–2 年,若是嚴重擁擠或咬合問題則可能 2–3 年,甚至更久;實際時間會依個人口腔狀況、是否拔牙、使用的矯正裝置與配合度而不同。

牙齒為什麼會移動呢 ? 又是如何移動的 ?

  • 牙齒矯正過程中,受到矯正力量作用,會讓牙齒周圍同時產生壓力及張力,當壓力開始作用,會引發蝕骨細胞將骨頭溶解;而當張力開始作用,則會有成骨細胞來生成新骨頭,在這樣一來一往的作用下,牙齒即會開始產生移動,但是也有可能會造成牙根吸收的情形
  • 傳統矯正方式來說,醫師將在每一顆牙齒上黏上矯正器(如同牙齒的齒輪),接著在每個矯正器上放上矯正線材(如同軌道),每一次的回診,透過收放之間,拉動牙齒,達到排整齒列的效果。而隱形矯正牙套一樣是藉由骨吸收和骨再生移動牙齒,不同的是,它改為藉由塑膠材質傳遞力量,大幅降低不適感

理想的牙齒排列與咬合關係

  • 理想的牙齒排列與咬合(Ideal Occlusion),不僅是為了美觀,更重要的是讓牙齒、牙周組織與顳顎關節能處於一個穩定、且能高效發揮功能的平衡狀態。以下從排列與空間關係來解析:
  • 排列上的「整齊度」
    • 牙弓曲線(Arch Form): 上下牙弓應呈現平滑的 U 型或拋物線型,牙齒之間緊密相連,沒有擠壓(擁擠)或縫隙。
    • 中線對齊: 理想情況下,上排牙齒的中心(兩顆門牙之間)應與臉部的中線對齊,且下排牙齒的中線也要與上排對齊。
    • 牙齒角度: 每一顆牙齒都有其理想的傾斜角度(Torque)與軸向。例如,門牙不應過度暴出或內倒。
  • 咬合的「空間關係」,通常參考「安格氏分類(Angle’s Classification)」,理想狀態稱為 Class I
    • 水平覆蓋 (Overjet):上排門牙應在下排門牙前方約 2–3 mm,保護嘴唇不被咬到,並提供切斷食物的功能。
    • 垂直覆蓋 (Overbite):上排門牙蓋住下排門牙的長度約 1/3 或 2–3 mm。過深稱為深咬,沒蓋住則稱為開咬。
    • 犬齒關係:上顎犬齒應咬在下顎犬齒與第一小臼齒之間,這對於保護後牙非常重要。
    • 大臼齒關係:上顎第一大臼齒的前頰側齒尖,應正好咬在下顎第一大臼齒的頰側溝內。
 

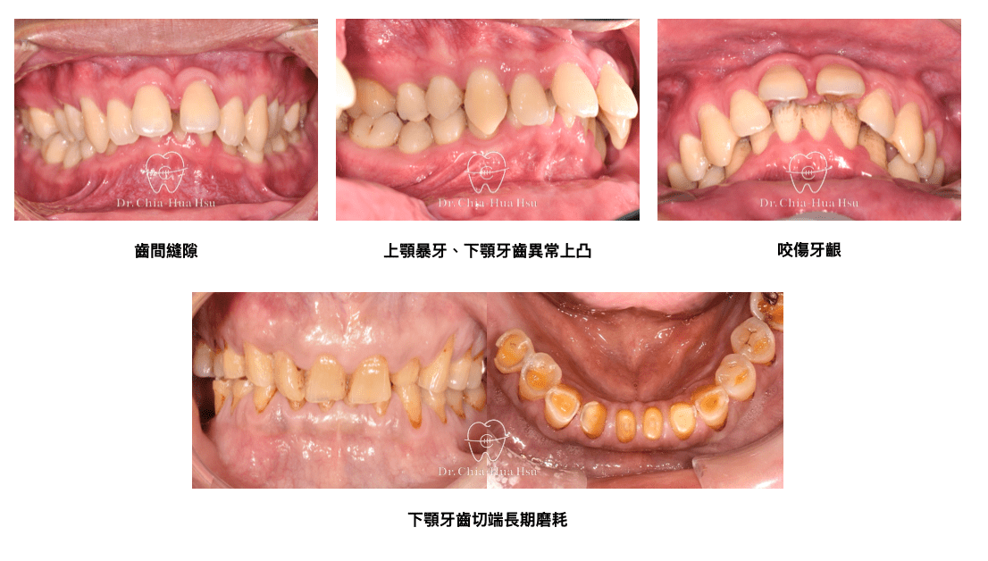
常見的齒列不正有哪些呢?

為什麼會咬合不正?

  • 先天因素:基因遺傳導致先天骨骼、齒槽骨發育不全等問題,即需透過矯正治療輔助達到改善。
  • 後天習慣:
    1. 孩童時期的吸吮習慣:長期吸奶嘴、吸手指頭、咬手帕巾等行為,容易造成上顎前突、暴牙,並間接影響口腔內骨骼及牙齒排列。
    2. 過敏因鼻子過敏而長期以口呼吸,容易影響口腔骨骼、肌肉發展,進而影響咬合問題。
    3. 後天缺牙:牙齒若因蛀牙或牙周病而使牙齒無法留存,或外力撞擊等因素造成缺牙,可能造成牙齒跑位、面部歪斜、面貌改變及發音異常等狀況。
    4. 顳顎關節不適:顳顎咬合系統由牙齒、咀嚼肌與顳顎關節組成,若其中一部分運作不良,即可能造成顳顎關節張嘴時不順,甚至疼痛至無法進食。口腔周圍肌肉的施力不正確或方式改變,會連動到身體其他部位形成連鎖反應,導致相關問題產生。

什麼年紀的人適合做矯正?

  • 原則上,只要口腔健康,幾乎任何年紀都可以做矯正喔!
    • 一般來說,小朋友約 7 歲的時候建議進行第一次矯正評估。
    • 兒童(約 7–12 歲):
      矯正黃金期,可引導顎骨發育,效果最好、療程較簡單。
    • 青少年(12–18 歲):
      牙齒移動快,外觀與咬合改善效果佳。
    • 成年(18 歲~40歲):
      這個階段大都有基本的金錢負擔能力,想改善牙齒健康,或是讓自己的外觀更加分,牙齒矯正是非常好的投資喔!
    • 中高齡(50 歲以上):
      中高齡病人雖然牙齒移動較慢,療程時間可能較長,不過許多患者可能有缺牙或假牙重建需求,又或者想變好看,只要牙周狀況穩定,一樣可以進行矯正治療喔。

矯正會痛嗎?

  • 金屬矯正
    • 疼痛度:較明顯
    • 每次調整後常有 2–3 天痠脹感
    • 拉力集中、力量較強
    • 矯正器與鐵線可能刮嘴、刮牙肉
    • 初期適應期較長
  • 隱形矯正
    • 疼痛度:較低、較溫和
    • 換新牙套時可能有 1–2 天緊繃感
    • 力量分散、漸進式移動
    • 幾乎不會刮傷口腔黏膜

如何緩解矯正帶來的疼痛與不適?有哪些注意事項?

  • 如何緩解不適?
    • 軟質飲食:前幾天選擇粥、湯麵、蒸蛋,避免咀嚼負擔。
    • 冰敷:外側臉頰冰敷可減輕發炎與痠脹感。
    • 止痛藥:不適明顯時,可依醫師建議服用。
    • 矯正蠟(金屬矯正):可減少鐵線刮傷嘴唇與口腔。
    • 規律配戴(隱形矯正):不要因不舒服而少戴,反而會延長不適期。
  • 注意事項
    • 固定式矯正器:避免硬、黏、韌的食物(帶骨雞排、堅果、芭樂),以免加重疼痛或造成金屬矯正器脫落。
    • 保持口腔清潔,避免發炎導致不適加重。
    • 初期不適多為 2–3 天,若疼痛持續或明顯加劇,請回診檢查。
    • 勿自行剪線或調整矯正器,避免受傷或影響療程。
  • 矯正的不適是短暫的,正確照護能讓適應更快、療程更順利。

矯正期間有什麼不能吃?

  • 固定式矯正器(金屬矯正器)
    • 避免太硬的食物(容易咬掉矯正器):硬糖、牛軋糖、冰塊、堅果(整顆)、法國麵包、硬殼披薩邊、排骨、雞排、玉米(直接啃)等。
    • 避免太黏的食物(卡垢、蛀牙):口香糖(含無糖)、麻糬、年糕焦糖、軟糖等。
    • 避免牽絲、會拉線的食物(不易清潔):海帶、魷魚絲、金針菇、牽絲起司、菠菜、空心菜(未剪)
    • 建議吃法:切小塊、去骨、用後牙慢慢咬、吃完立刻清潔。
  • 隱形矯正器:原則上沒有飲食禁忌,不過戴著牙套時絕對不能進食、喝飲料。另外,用餐時間不宜過長,以免影響治療整體成效。

什麼狀況需要拔牙矯正?

矯正牙齒可以改變臉型嗎?

  • 牙齒矯正主要是調整牙齒排列與咬合,可以改善暴牙、戽斗,進而讓嘴型與側臉線條看起來更協調臉會不會變小、變瘦,並不是矯正能保證的效果
  • 矯正過程中,有些人因為飲食變軟,咀嚼肌暫時變小,臉頰看起來較瘦、顴骨較明顯這屬於個人差異與暫時現象
  • 牙齒位置會影響嘴唇支撐,因此暴牙的患者在治療過程將門牙向後移動,嘴唇位置與側臉輪廓可能會改善,顎骨形狀基本不會改變,成人只能有非常有限地修飾下半臉與產生下巴位置變化。
  • 若希望臉型有明顯改變,通常需要矯正合併正顎手術,應由矯正醫師專業評估後再決定治療方式。

為什麼有些人矯正後覺得臉頰變凹?

  • 很多人覺得矯正後臉頰凹陷,其實是視覺上的改變。隨著年紀增加,臉部的脂肪與膠原蛋白本來就會慢慢流失,而矯正療程通常持續一段時間,這段期間的變化,很多其實是自然老化的過程
  • 另外一個常見原因是,矯正期間牙齒會比較痠軟,飲食偏軟、少咀嚼,導致兩側咀嚼肌暫時變小,臉頰看起來就比較瘦、比較凹。 這種情況大多是暫時的,等矯正完成、恢復正常飲食後,肌肉會慢慢回來,臉型也會趨於穩定。

孕婦可以做牙齒矯正嘛?

  • 先說結論:可以,但需要更謹慎評估。我們通常會分成兩種情況來看:
    • 已經在矯正中,之後才懷孕:懷孕本身不會影響矯正治療,也不會因為矯正而影響胎兒健康,大多數情況下是可以繼續完成療程的。
      但治療內容會以安全、保守為優先,避免不必要的侵入性處置。
    • 懷孕期間才想開始矯正:這類情況需要特別評估,因為懷孕期間原則上不建議拍攝 X 光,矯正醫師能使用的診斷資料會較有限。因此是否立即開始矯正,會視個人狀況決定,有時也會建議產後再進行完整規劃。
  • 懷孕期間的口腔注意事項
    • 懷孕賀爾蒙變化,牙齦較容易紅腫、流血或不適。
    • 矯正中更需要加強刷牙與清潔。
    • 若需要拔牙、骨釘等較複雜治療,一定要與醫師充分討論時機與必要性。

矯正期間是不是不能吃硬的、太黏的食物?


  • 矯正期間因剛開始適應矯正器的拉力,會有短暫出現牙齒痠軟的狀況,這時候並不建議吃堅硬、黏性高的食物,以增加牙齒的不適。再者,健康的牙齒本就不建議常吃這類的食物,而矯正期間可能增加矯正器脫落、清潔不完全等風險,因此矯正醫師們自然會建議能免則免。
  • 矯正期間則要避免擁有這3點特性的食物
    • 堅硬食物,如:堅果、硬糖果、軟骨等食物,,以防將矯正器咬掉。
    • 黏性食物,如:麥芽糖、年糕等食物,避免矯正器及矯正線被黏起而造成移位,亦可以省去食物黏著卡住矯正器的風險,避免蛀牙
    • 含色素的食物,如:咖哩,以防破壞矯正器將矯正橡皮筋染色。 

矯正期間有什麼風險?

改善齒間黑三角的方法

牙齒有可能拉不動嗎?

矯正時該如何進行清潔?

  • 牙刷清潔 
    • 不論是否有上矯正器,都最好選擇刷毛柔軟的款式,這樣既能深入清潔又不會
    • 傷害牙齦。刷頭小一點的牙刷也更方便清潔矯正器周圍的細節喔!
    • 步驟 1:將刷毛輕輕靠在牙齒與牙齦交界的地方,以 45 度角傾斜,輕柔地刷動。
    • 步驟 2:確保每個牙齒表面都徹底刷到,每顆牙齒都要清潔約 10 秒,尤其是矯正器附近的區域,避免食物和牙菌斑的殘留。
    • 注意:刷牙力道避免過度用力,以免傷及牙齦。

 

  • 牙間刷的使用
    • 牙間刷主要用來清潔牙齒之間的縫隙以及矯正器的周圍,特別是矯正器金屬線和牙齒之間難以清潔的地方。
    • 步驟 1:挑選適合的尺寸,選擇適合自己牙縫大小的牙間刷,不可過大,以免損傷牙齦。
    • 步驟 2:將牙間刷輕輕插入牙齒縫隙或貼著矯正器周圍(上下左右)清潔,注意清潔牙縫時避免強行推入以免傷害牙齦。輕輕來回滑動牙間刷,以清除卡在縫隙中及矯正器周圍的食物和牙菌斑。
    • 注意:建議每天最少使用牙間刷一次,如能每次進食後使用更佳,使用後需清
    • 洗牙間刷並放置在乾燥處,以保持衛生。

金屬矯正期間若不舒服,該如何進行處理?

  • 矯正器配戴初期或調整後,金屬線和矯正器可能會摩擦口腔內壁,導致不適,這時候可以使用白蠟來減少摩擦
    1. 取適量白蠟:清潔手部,取出適量的白蠟,揉成小球狀。
    2. 黏貼在矯正器上:將白蠟黏貼於矯正器或矯正線會引起不適的部位上,這樣可以減少摩擦和不適感。
    3. 隨時替換:如果白蠟脫落或變髒,記得更換新的白蠟,保持清潔以避免細菌滋生。
  • 注意:刷牙清潔前記得取下白蠟,以免牙菌斑及食物殘渣堆積在矯正器周圍。
  • 白蠟平時請保存於陰涼通風處,暫時不用的白蠟可置於冰箱以免遇高溫而融化。

牙齒骨暴是什麼?怎麼治療呢?

  • 「牙齒骨暴」其實就是「暴牙」的一種,臨床上比較精準的說法是:上顎或下顎骨相對於面部過度前突(Skeletal protrusion),也就是骨頭本身比較凸,不只是牙齒排列外凸而已。
  • 骨暴會怎麼處理?
    • 輕度骨暴:拔牙矯正 + 骨釘後退
    • 中重度骨暴:骨頭明顯前突 → 正顎手術(骨頭位置後移)+ 牙齒矯正

深咬是什麼?會有什麼問題呢?

  • 什麼是「深咬」? 深咬其實就是上下前牙垂直覆蓋過多,也就是當咬緊時,上排牙齒把下排牙齒遮住太多。
  • 以下是深咬常見問題:

為什麼矯正醫師會問我睡覺的情況?

  • 矯正開始前,醫師會關注您的「顱顏結構」與「呼吸道空間」的平衡:
    1. 牙弓形狀(牙齒排列的弧度)反映了呼吸道空間。如果牙弓過窄可能有上顎骨過於窄小的情形,通常意味著鼻腔底部的空間也較小,容易導致鼻塞或習慣性口呼吸。為了順利呼吸,舌頭會被迫下降位置,無法支撐上顎,進而導致牙弓進一步萎縮,形成惡性循環。

    2. 下巴後縮 (Retrognathia): 當下巴位置偏後時,舌根會被推向咽喉後方,導致睡覺時氣道變得狹窄,增加 OSA(阻塞性睡眠呼吸中止症) 的風險。

為什麼會發生 OSA (阻塞型睡眠呼吸中止)? 有哪些徵兆?

  • 當我們進入熟睡後,喉嚨肌肉會放鬆。如果呼吸道空間本來就比較狹窄,放鬆的肌肉就會導致氣道完全或部分堵塞。
    • 肥胖: 頸部脂肪過多會壓迫氣道。
    • 解剖構造異常(骨骼與軟組織):
      • 下顎後縮: 當下巴骨架發育不足或位置太後面,會將舌根往咽喉方向推,導致氣道狹窄。
      • 上顎狹窄(高拱顎): 牙弓過窄會縮減鼻腔底部的空間,增加鼻塞機率,並強迫舌頭位置下降,進而壓迫氣道。
      • 扁桃腺或腺樣體肥大: 這是兒童 OSA 最常見的原因,腫大的組織就像擋在路中間的石頭。
      • 舌頭肥大 (Macroglossia): 舌頭太大或口腔空間太小,導致睡覺肌肉放鬆時,舌頭後倒遮住呼吸道。
      • 鼻中膈彎曲。
    • 肌肉與神經調節因素:即使空間足夠,如果肌肉「不給力」,氣道也會塌陷。
      • 肌肉張力不足: 進入熟睡後,維持氣道開放的肌肉(如顎帆提肌)過度放鬆。
      • 神經訊號延遲: 大腦傳遞給呼吸道肌肉的訊號不夠強,無法在吸氣時撐開氣道。
    • 年齡與性別: 男性風險高於女性(但女性更年期後風險會增加)。
    • 生活習慣: 睡前飲酒、服用鎮靜劑或長期抽菸。

  • 如果您或您的家人發現有以下狀況,建議進行專業評估:
    • 雷鳴般的鼾聲:常伴隨突然的中斷或抽氣聲。
    • 白天極度嗜睡:即使睡很久還是覺得累,開車或開會容易睡著。
    • 睡眠中驚醒:感覺呼吸困難或被嗆到。
    • 夜間磨牙:磨牙有時是為了恢復呼吸道的保護性反應。
    • 起口乾:反映睡眠期間長期用口呼吸。
    • 注意力不集中: 記憶力下降、情緒易怒。
    • 下巴後縮:側面看下巴較短或往後躲(Bird face)

假性戽斗?骨性戽斗?

  • 「戽斗」指的是下巴咬起來時下顎突出,看起來下巴比較前面。一般來說,戽斗可以分為假性戽斗跟骨性戽斗:
    • 骨性戽斗:下顎骨骼結構過度發育。下巴骨頭偏大、偏長或偏前、側面看明顯突出、家族遺傳常見、咬合也會反咬(下牙包上牙),通常不會因為牙齒排列改善而消失。治療:成長期可做下顎生長控制 & 上顎前牽引,成年多需正顎手術搭配矯正。
    • 假性戽斗:牙齒位置、咬合習慣造成,看起來像下巴前突。治療:牙齒矯正可改善,不一定要手術。

矯正治療適用於保險給付嗎?

  • 在台灣,一般齒顎矯正屬於美容與自費項目,健保不給付。 但有幾種情況,在特定的醫療機構(例如:一級醫學中心)健保會部分給付:
    • 唇顎裂患者(Cleft lip / palate):需要矯正配合手術、重建,健保可給付相關治療。
    • 顱顏異常疾病:例如先天性顱顏畸形,符合醫療指引者。
  • 商業保險(意外險、醫療險)
    • 一般壽險 / 醫療險:不會給付「單純齒列矯正」。
    • 意外險:若因外傷(車禍、運動事故)導致牙齒錯位或咬合異常,經醫師診斷需矯正治療,有些保險會理賠。
    • 重大疾病險:若矯正是因顱顏疾病或手術需要,可能在醫療費用裡部分涵蓋。但要看保單條款,很多公司會明文排除「齒顎矯正」。
  • 外商公司(跨國企業)的保險給付情況
    • 很多外商會替員工投保 團體保險(Group Insurance,內容通常包含醫療、牙科、眼科。在牙科部分,有些計劃會涵蓋 Preventive(預防性治療,如洗牙、X光)Basic(補牙、拔牙、根管)Major(假牙、植牙),有時也會包含 Orthodontics(矯正)

矯正的效果可以維持多久?會不會很快又亂掉?

  • 矯正治療完成後,牙齒雖然已移動到理想位置,但周圍支撐牙齒的韌帶與骨組織仍需要時間重新適應與穩定。因此,在治療結束後的前 1~2 年,必須確實配戴維持器,才能幫助牙齒固定在新的位置,降低復發的風險。
  • 即使超過這段時間,牙齒仍會受到日常咀嚼、吞嚥、肌肉力量與牙齒磨耗的影響,位置可能持續產生微小變化。若完全停止配戴維持器,牙齒仍有再次變亂的可能,尤其以下顎門牙區最為常見。
  • 簡單來說,牙齒能維持整齊多久,取決於維持器配戴多久;一旦停止配戴,不論矯正完成多久,都存在再度排列改變的風險。
error: Content is protected !!