齒質不足、強逼萌出術

成人矯正 | 金屬矯正 | 局部治療 | 強逼萌出術
  • 病患主訴:有一組用了十幾年的舊牙橋,因為清潔不佳導致牙齒齲齒、假牙鬆。檢查發現齒質不足,因此進行局部矯正評估,看是否能將牙齒拉出來,以便製作新的假牙。
  • 問題分析:由於牙齒齒質不足(殘根狀態),為了配合假牙製作,進行局部矯正治療。
  • 治療方式:在此病例中,使用臨時假牙搭配簡易的矯正裝置來將牙齒拉出來(強逼萌出術 Forced eruption)。
  • 治療時間:2 個月。
  • 治療結果:拉出足夠齒質高度(Ferrule effect)來製作假牙。
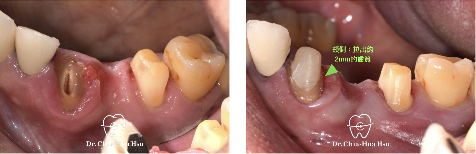
治療前
治療後
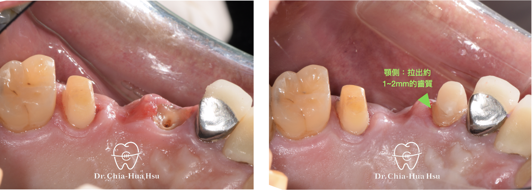
治療前
治療後
  • 強逼萌出術 Forced eruption :在臨時牙橋上黏著金屬鈕扣,再使用橡皮圈把殘根牙齒拉出來以獲得足夠齒質(Ferrule effect),以利新的假牙製作。
治療中
治療前
治療後
Picture of 許家樺醫師

許家樺醫師

身為齒顎矯正專科醫師,我期許自己保持著細膩度和同理心去面對我的病人,並且不斷精進齒顎矯正學術和技術上的細節,提供病人更全方位的治療。

關於許醫師 »
Picture of 許家樺醫師

許家樺醫師

身為齒顎矯正專科醫師,我期許自己保持著細膩度和同理心去面對我的病人,並且不斷精進隱形矯正學術和技術上的細節,提供病人更全方位的治療。

關於許醫師 »
error: Content is protected !!