兒童及青少年矯正 Children/Teen Orthodontics

何時讓小朋友接受矯正評估?

美國齒顎矯正學會AAO的建議,孩童在7歲時就可以進行第一次矯正評估,並由矯正醫師來判定孩童是否需要接受齒顎矯正。

許醫師會綜合考量孩子的換牙進程、臉型與顎骨的發育情況、未來是否需拔牙矯正的可能性,以及心理與行為發展階段,為家長與孩子量身打造一套全面且個別化的治療方案。

早期矯正介入時機

第一期 – 乳牙階段(8歲前兒童)
此階段要注重乳牙健康,並及早戒除不良習慣,如吸手指、吃奶嘴、口呼吸等。若有吞嚥或發音異常,建議與語言治療師合作,矯正肌肉功能。前牙區會開始長出6–8顆恆牙,但因牙床尚小,門牙常顯得特別大,可能排列整齊、擁擠或有縫。若有局部錯咬、咬合干擾及牙弓過窄等問題建議提早評估及治療。

第二期 – 混合齒列階段(8~12歲兒童)
8~12歲是兒童牙齒矯正黃金期,是牙齒替換和顎骨快速發育的關鍵階段。如果有牙弓太窄、牙齒嚴重擁擠、反咬(錯咬)、暴牙、戽斗、深咬、牙縫過大、阻生齒、異位萌發等問題,建議讓醫師檢查診斷是否需要介入矯正,避免日後開刀、降低治療難度。

第三期 – 恆牙階段(12~18歲青少年)
12~18歲的孩子已經全部都換成恆牙齒列,此時的牙齒移動速度快,孩子動機強,容易教導口腔衛生習慣,讓矯正醫師做全面完整的規劃,帶給孩子一輩子的好牙。

兒童/青少年隱適美

兒童與青少年隱適美矯正,為求學階段的孩子提供隱形、舒適又彈性的矯正體驗。矯正期間,孩子們依然能自在享受飲食與運動,不影響日常生活與課業表現。

兒童隱適美(Invisalign First)是專為8~12歲正在換牙兒童所設計的牙套。透過隱形牙套將牙齒排整齊,同時擴大牙弓為即將長出的恆牙騰出空間,避免未來因空間不足而需要拔牙治療。兒童隱適美價格實惠且通常只需要一年半的矯正時間。

許醫師擁有隱適美專業認證,結合臨床經驗與美學眼光,精準掌握孩子的成長節奏與臉型發展,為每位孩子量身打造健康自信的笑容。

金屬矯正

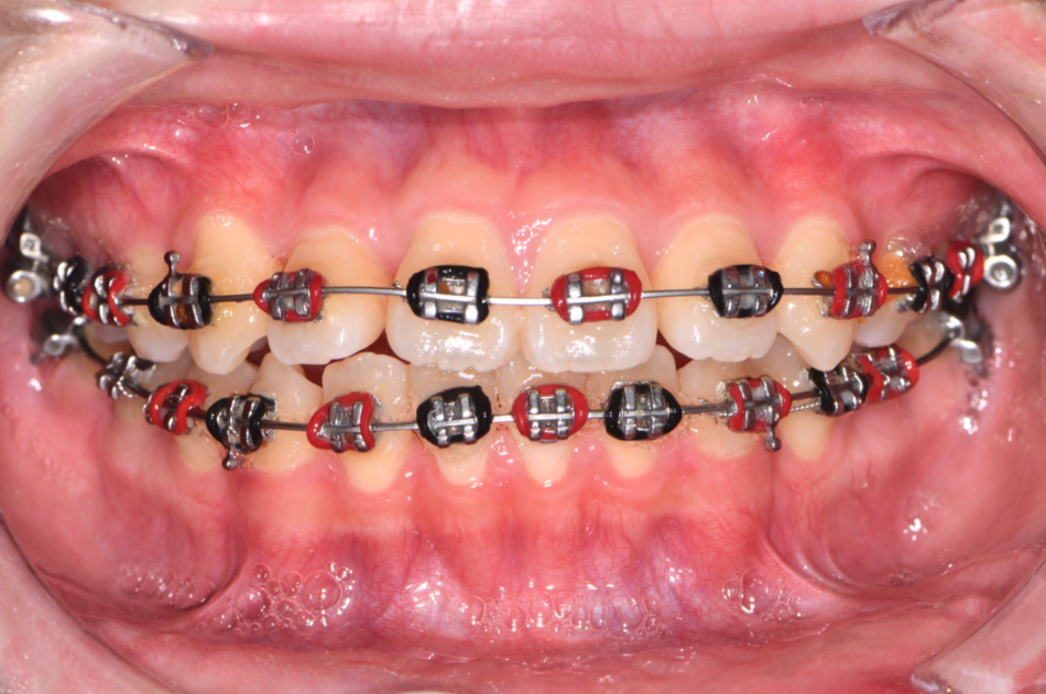
金屬矯正是歷史最悠久的矯正方式,適合正在換牙或恆牙初期的孩子。金屬矯正器治療效果穩定明確,使用鐵絲、橡皮筋慢慢讓牙齒回復到正確的位置,為孩子打造健康、整齊笑容。還有鮮豔橡皮圈,讓孩子充滿參與感!

患者小朋友是休士頓火箭隊小小球迷,選擇了象徵火箭隊紅黑的橡皮圈,為治療增添趣味!

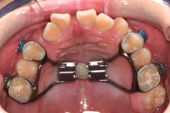
早期牙弓擴張術 (Rapid Maxillary Expansion)

牙弓擴張主要針對上顎進利矯正,透過牙弓矯正裝置裝進上顎牙齒內側,以嘗試撐開上顎的牙弓、擴張空間,慢慢地利用裝置的壓力來把牙弓擴張,讓整個上顎變大,並讓上顎能容納更多牙齒,藉此使牙齒排列回復正常。

上牙弓正常情況下會比下牙弓大,因此在正常咬合的狀態,上顎的牙齒應全都包覆在下顎牙齒的外側。但因基因遺傳、日常生活的壞習慣、因鼻塞長期習慣用口腔呼吸導致很多人牙弓越來越小,導致口腔沒有足夠的空間容納牙齒,因此造成齒列不整、上顎發育不佳,更可能有戽斗狀況產生。

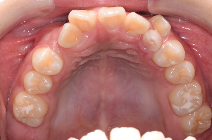
治療前
上顎擴弓後

把握成長黃金期,為孩子打造一口健康自信的笑容。牙齒與顎骨的成長只有一次機會,從小做好最安心!
如果你正在幫孩子尋找一位細心、專業又懂得傾聽的矯正醫師,許家樺醫師是您值得信賴的選擇。

error: Content is protected !!