什麼是隱形矯正?
隱形矯正,就是一種用透明、可自行取下的牙套,將牙齒包覆、慢慢推動的矯正方式。目前市場上常見的有隱適美(Invisalign)、戴蒙矯正家族的精耀透明矯正器(Spark)等產品。
隱適美 Invisalign
隱適美(Invisalign)是隱形矯正器的最大品牌,由美國 Align Technology公司所研發的世界級隱形矯正系統,目前在全球範圍內擁有最多的成功案例和市場佔有率,也是眾多明星與運動員信賴的隱形牙套首選。相較於傳統金屬矯正系統,隱適美最大的特色在於其透明、舒適且幾乎隱形的矯正器,配戴過程中不易被察覺,讓患者在矯正期間依然能自在地展現笑容。此外,隱適美結合先進的大數據分析與3D數位科技,能精準模擬牙齒移動過程,並由矯正專科許醫師量身打造專屬治療計畫,讓整體矯正療程更加高效、舒適且健康。
適用族群:
- 兒童隱適美First:求學階段的兒童,注重外貌與舒適性的學生族群。
- 青少年/成人隱適美:有美觀需求、想低調矯正怕傳統牙套影響外觀的人。
- 隱適美Lite輕矯正:適合用在前牙排列輕微不整齊(些微擁擠或牙縫)、原本咬合條件良好不需要大幅調整、想在短時間內改善笑容但又有預算考量的族群,整個療程大約只需 6~8 個月。
精耀透明 Spark
Spark 精耀透明矯正系統與 戴蒙自鎖式矯正系統皆由全球齒顎矯正領導品牌 Ormco 公司精心研發製造,深受專業醫師信賴。Ormco 公司憑藉超過 60 年齒顎矯正領域的深厚經驗、研發創新以及嚴格的製造標準,現今已成為眾多齒顎矯正醫師首選的領導品牌。在全球超過 140 個國家,協助齒顎矯正醫師創造 2,000 萬以上的滿意笑容。
Spark 採用 TruGEN™ 專利彈性材料,擁有卓越透亮度、舒適度,並且具備優異抗染力,配戴時幾乎隱形不刮口腔,更加貼合牙齒表面,能夠精準控制牙齒移動,顯著縮短治療時間並提升矯正效果,為患者帶來更佳的治療體驗。
隱形矯正治療前
在正式開始隱形矯正之前,我們會先透過口內掃描、X光影像與拍照記錄,掌握您目前的牙齒排列與咬合狀況,同時也會與您討論希望透過矯正改善的重點與期望目標。許醫師會根據您的牙齒條件與需求,量身訂製專屬的治療計畫,並與專業技師團隊合作,精細設計每一副牙套的移動方向與施力點。
配戴牙套
隱形矯正是以定期更換透明牙套的方式,將牙齒慢慢推向理想的位置。病人拿到牙套後,平時除了用餐、刷牙清潔時取下,每日盡量要配戴20~22小時,醫師也會按照牙齒的排列情況,讓病人每隔一到兩週更換牙套。相當適合工作及日常生活中需注意外在形象者。
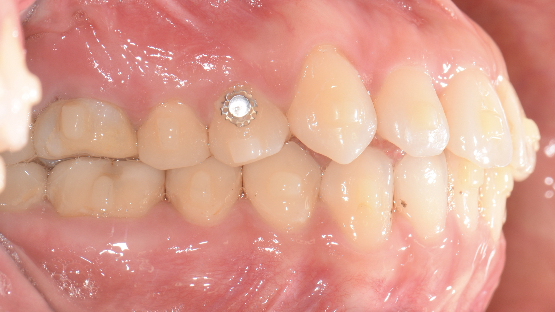
治療中的小裝置
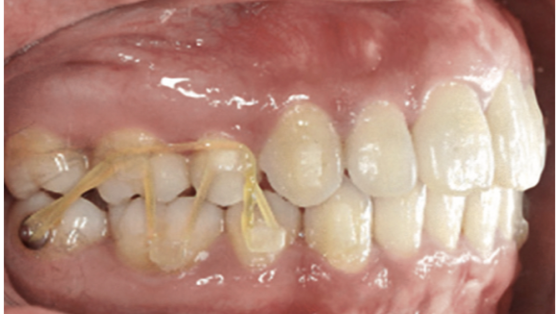
在某些情況下,為了讓牙套能更有效地控制牙齒位置,我們會在特定牙齒表面黏貼細小的樹脂附著點(俗稱「小豆豆」),或視個別需求加上橡皮筋、鈕扣、或局部輔助矯正器,幫助牙齒更精準地移動到理想的位置。
可以自由拆卸、近乎隱形的矯正牙套,飲食方面較無特別忌口,且溫和移動牙齒的特性大幅降低傳統矯正的不適感,回診時間彈性也可利用線上看診,適合需要常保美觀形象、工作忙碌者或長期出國的你喔!