齒間縫隙、先天性缺牙

成人矯正 | 金屬矯正 | 非拔牙治療 | 骨釘
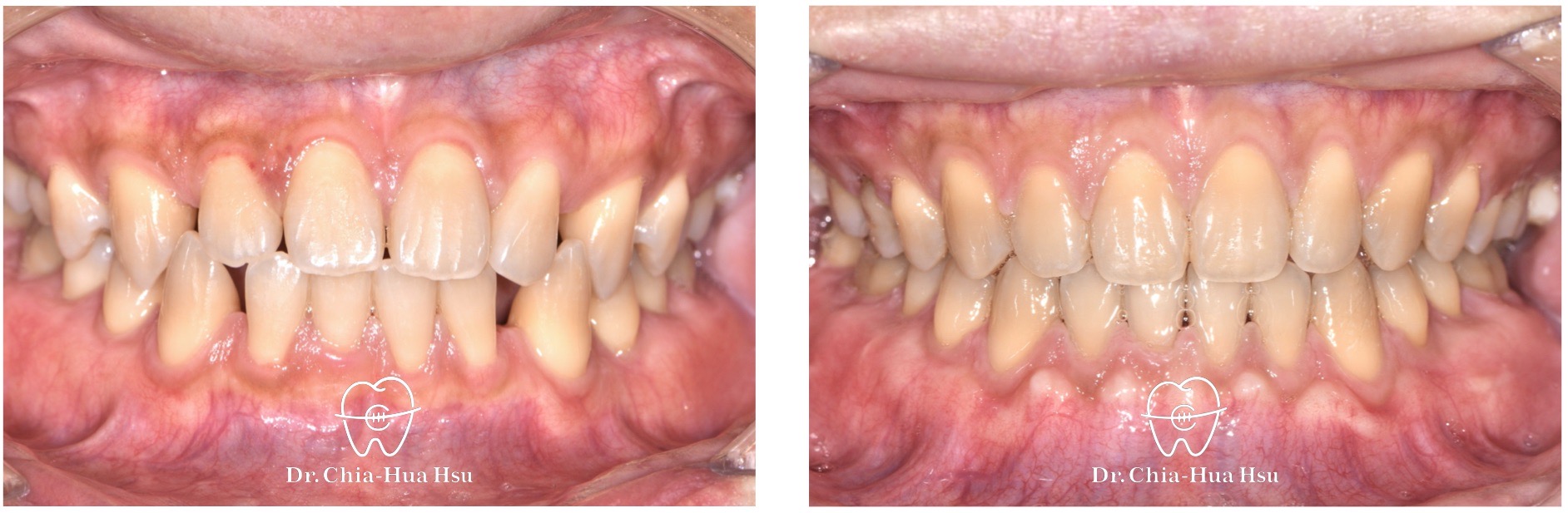
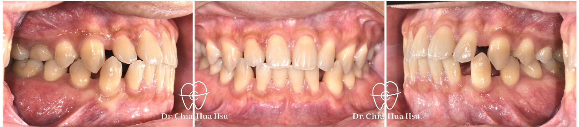
  • 病患主訴:牙齒縫隙很多、想改善牙齒排列。
  • 問題分析:患者有許多齒間縫隙、先天性缺牙 (右上第二小臼齒、左下第二大臼齒),還有右上第二乳臼齒滯留伴隨牙齒骨性沾黏 (Ankylosis)。
  • 治療方式:使用傳統金屬矯正器,配合下顎頰側迷你骨釘拉動牙齒 ; 右上第二乳臼齒因為骨沾黏無法移動,故以樹脂修復、恢復咬合功能。
  • 治療時間:2 年。
  • 治療結果:齒列排齊、縫隙關閉,咬合功能也改善許多。
治療前
治療後
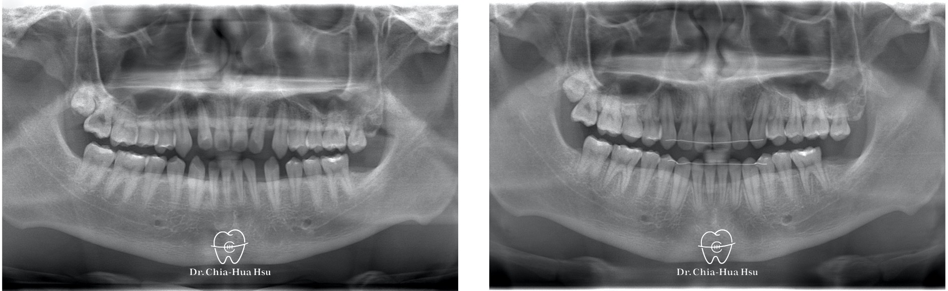
治療前
治療後
治療中
  • 治療過程:治療過程中,下顎使用矯正暫時迷你骨釘 (TADs)、槓桿臂 (Lever arm) 與橡皮鏈 (Power chain),將後牙往前拉並關閉縫隙。
  • 矯正小知識:懸臂 (Cantilever arm) 是一段由金屬絲 (多為不鏽鋼或鈦合金) 製作的細長結構,通常一端是固定在支點(Anchor tooth 或骨釘),另一端是自由懸空,藉由橡皮鏈、彈力線等方式,施力於目標牙齒。
治療前
治療後
治療前
治療後
治療前
治療後
治療前
治療後
Picture of 許家樺醫師

許家樺醫師

身為齒顎矯正專科醫師,我期許自己保持著細膩度和同理心去面對我的病人,並且不斷精進齒顎矯正學術和技術上的細節,提供病人更全方位的治療。

關於許醫師 »
Picture of 許家樺醫師

許家樺醫師

身為齒顎矯正專科醫師,我期許自己保持著細膩度和同理心去面對我的病人,並且不斷精進隱形矯正學術和技術上的細節,提供病人更全方位的治療。

關於許醫師 »
error: Content is protected !!