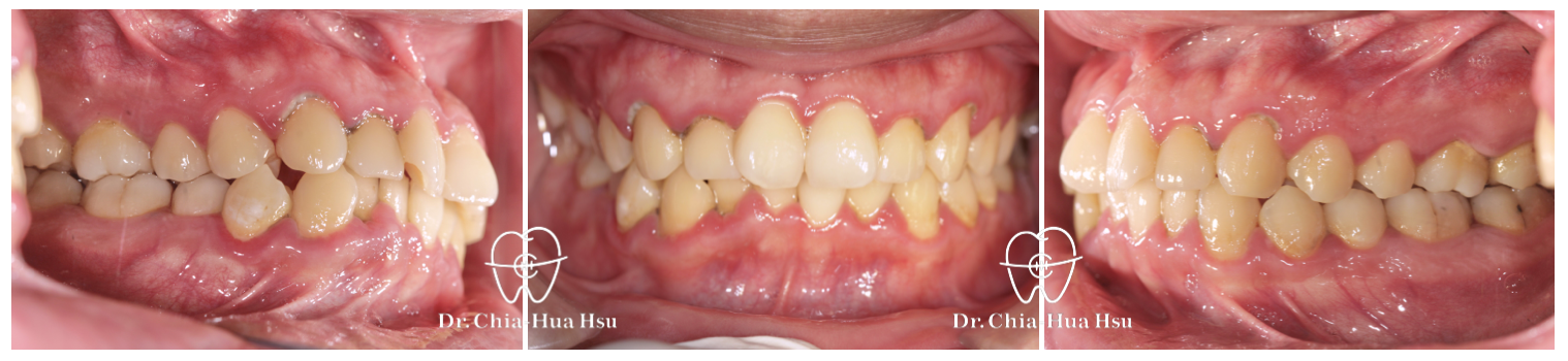
齒列擁擠

成人矯正 | 金屬矯正 | 非拔牙 | 骨釘
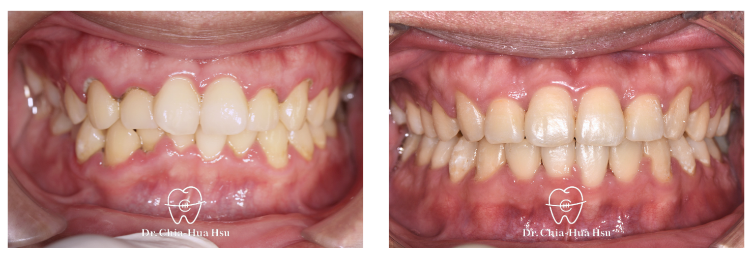
  • 病患主訴:牙齒排列不整齊、不好清潔,但不想拔牙。
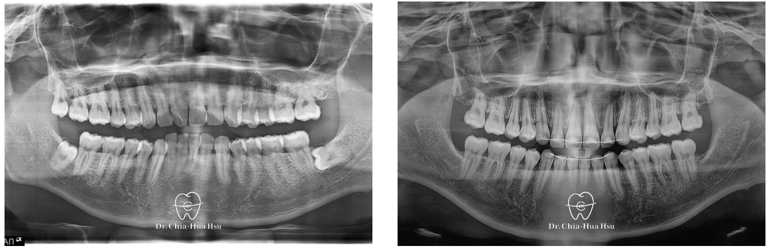
  • 問題分析:患者是標準的骨骼一類咬合(Skeletal Class I)伴隨齒列擁擠以及嘴唇微凸,初診時口內有許多牙結石與牙齦紅腫發炎的問題。
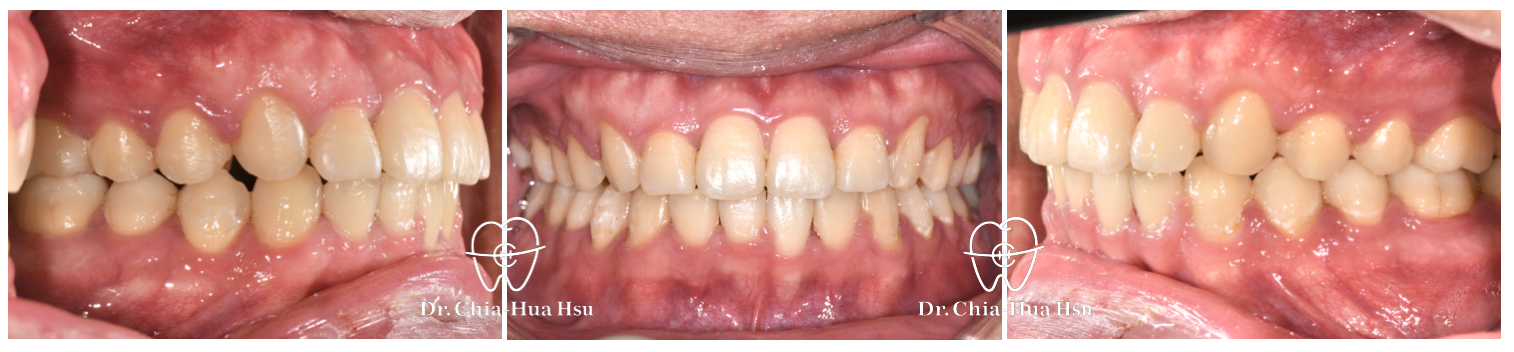
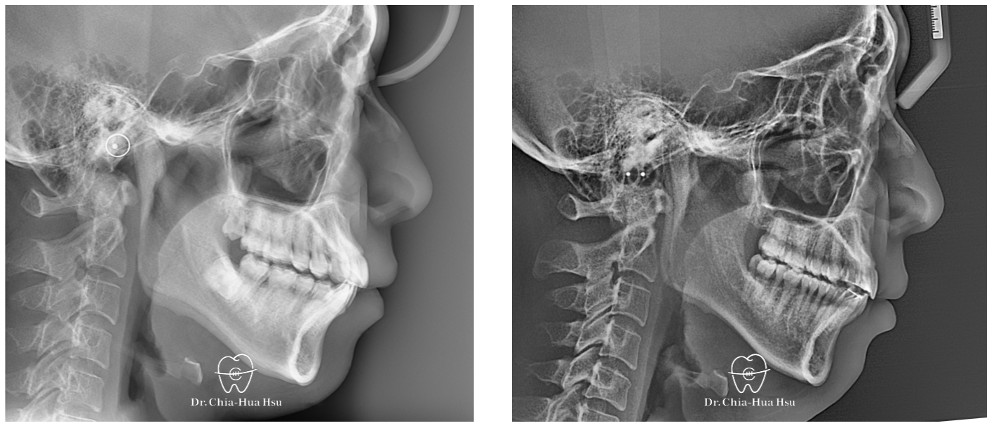
  • 治療方式:使用傳統金屬矯正器,用骨釘退後齒列獲得空間。
  • 治療時間:2 年。
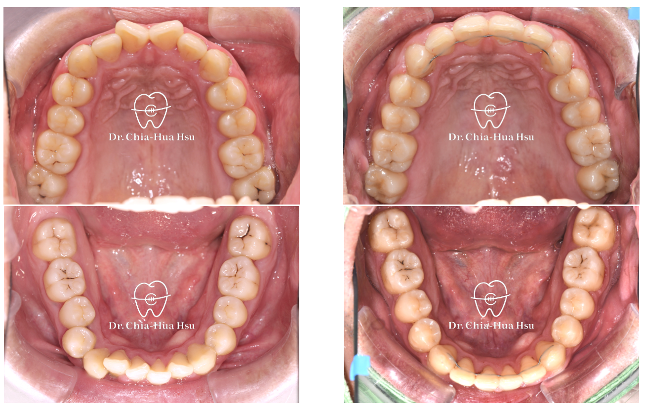
  • 治療結果:齒列排齊。不過因為患者沒有拔牙,因此臉型變化不大。
治療前
治療後
治療前
治療後
治療前
治療後
治療前
治療後

治療前
治療後
治療前
治療後
Picture of 許家樺醫師

許家樺醫師

身為齒顎矯正專科醫師,我期許自己保持著細膩度和同理心去面對我的病人,並且不斷精進齒顎矯正學術和技術上的細節,提供病人更全方位的治療。

關於許醫師 »
Picture of 許家樺醫師

許家樺醫師

身為齒顎矯正專科醫師,我期許自己保持著細膩度和同理心去面對我的病人,並且不斷精進隱形矯正學術和技術上的細節,提供病人更全方位的治療。

關於許醫師 »
error: Content is protected !!