- 病患主訴:牙齒排列不整齊、側門牙躲在後面、嘴唇有點凸。
- 問題分析:患者是標準的骨骼一類咬合(Skeletal Class I)伴隨齒列擁擠以及嘴唇微凸。
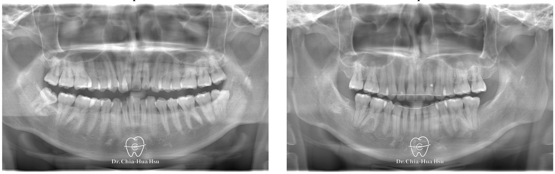
- 治療方式:使用傳統金屬矯正器,拔除四顆小臼齒獲得空間,搭配二級橡皮筋牽引(Class II elastics)。
- 治療時間:2 年。
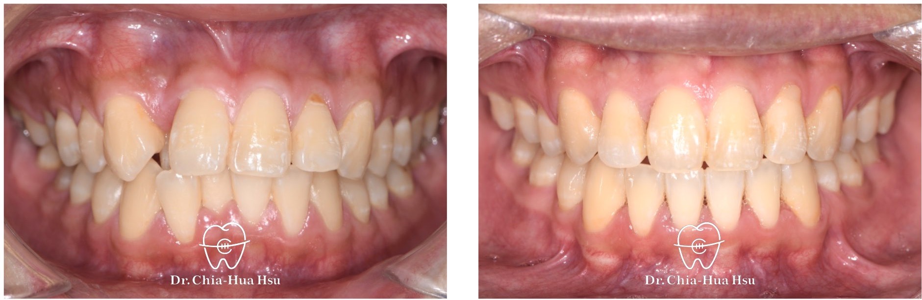
- 治療結果:齒列排齊,嘴凸也有顯著改善,甚至下巴輪廓更明顯。
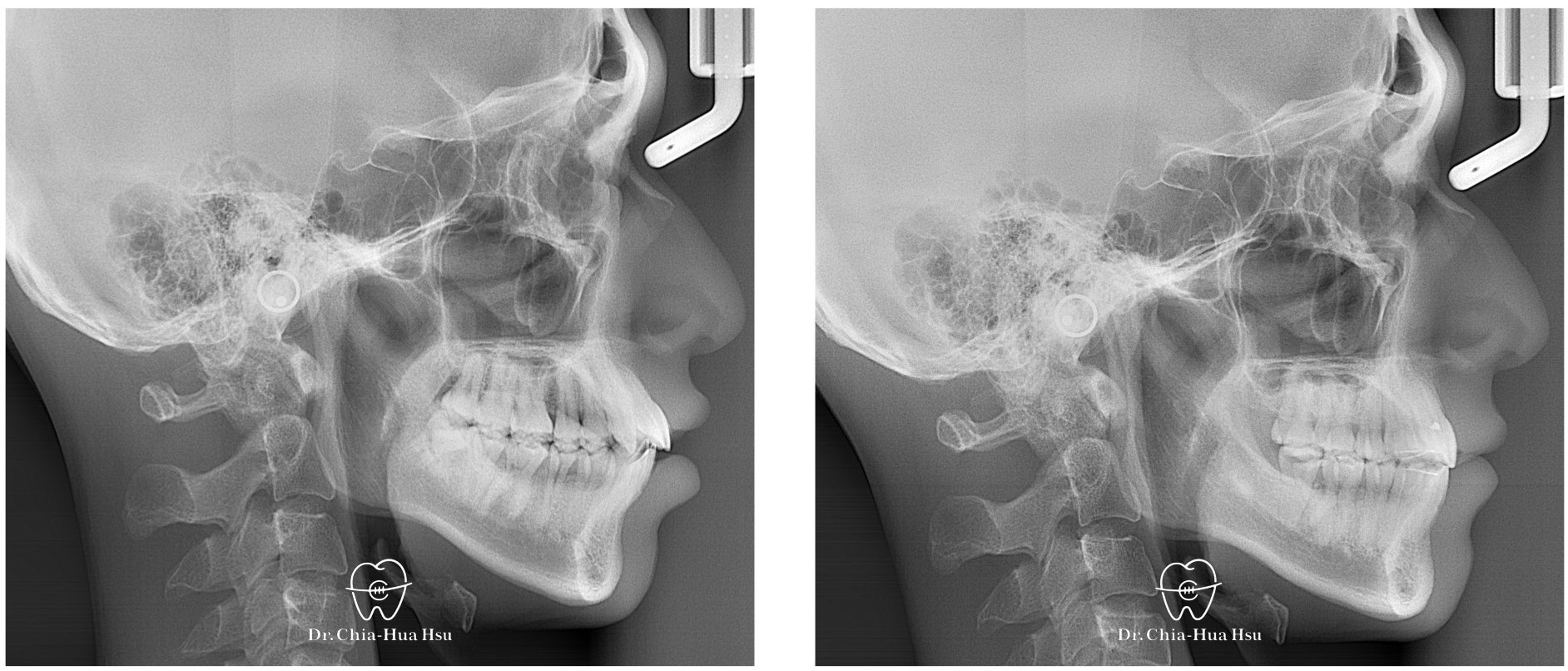
治療前
治療後
治療前
治療後
治療前
治療後
- 治療過程:治療過程中,上顎使用關閉型矯正彈簧(close coil spring),而下顎使用透明橡皮鏈(power chain),來將拔牙空間關閉。
- 矯正小知識:Close Coil Spring 是一種牙科矯正用的微型彈簧,通常由不鏽鋼或鎳鈦合金(NiTi)製成。因為兩端封閉(有小環或掛勾),可直接固定在矯正器的支架(bracket)或弓絲上,用來產生持續且可控的力量。
治療前
治療後
治療前
治療後
治療前
治療後
治療前
治療後