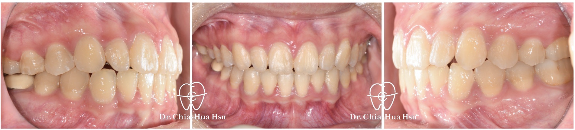
- 患者是一位夢想當空姐的甜美大學生,最初因為蛀牙問題來找許醫師,後來在許醫師細心治療下決定接受矯正治療,找回她的自信笑容。
- 病患主訴:牙齒排列不整齊、笑容不好看。
- 問題分析:患者是標準的骨骼一類咬合(Skeletal Class I)伴隨齒列擁擠以及深咬。
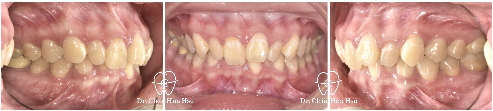
- 治療方式:使用傳統金屬矯正器,搭配二級橡皮筋牽引(Class II elastics)。
- 治療時間:1 年 3 個月。
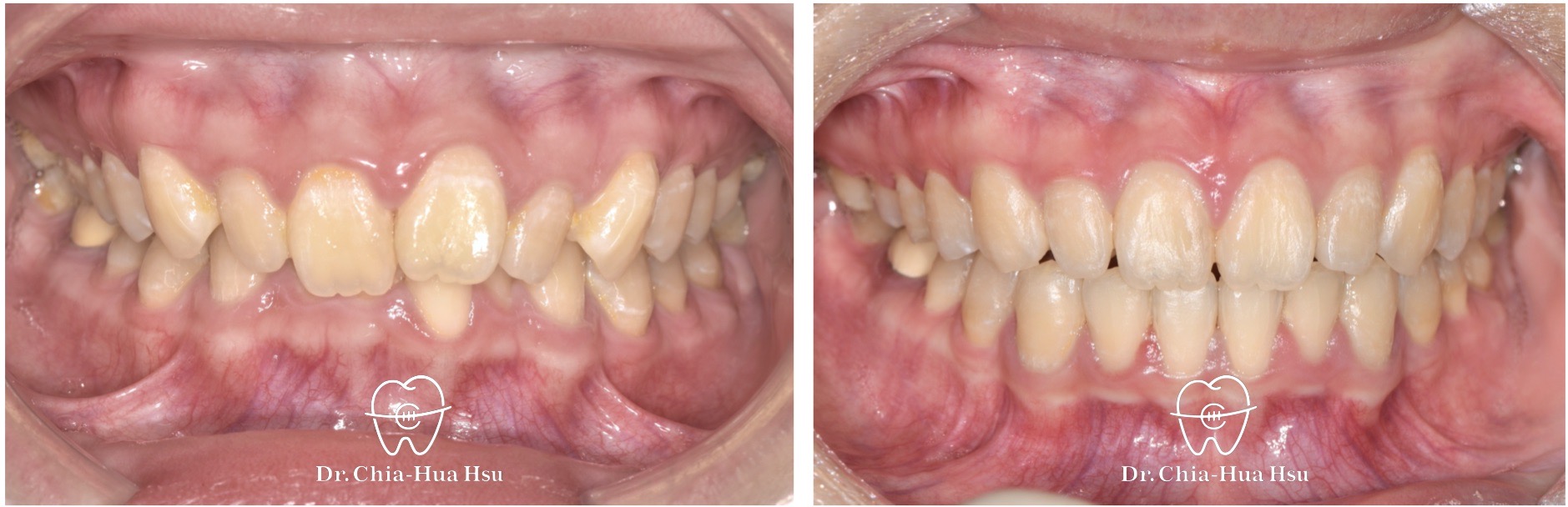
- 治療結果:齒列排齊,深咬有顯著改善,笑容更有自信。
治療前
治療後
治療前
治療後
治療前
治療後
治療前
治療後