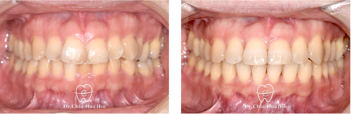
- 病患主訴:齒列擁擠、中線偏移。
- 問題分析:患者外觀沒有太大的問題,主要是齒列擁擠、上下中線不齊。
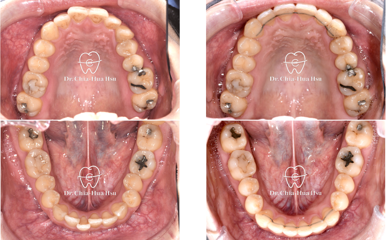
- 治療方式:使用傳統金屬矯正器與拉口內橡皮筋的方式來排齊齒列。
- 治療時間:1 年 5 個月。
- 治療結果:改善齒列擁擠、中線偏移的問題,可以看到患者笑得更自信。
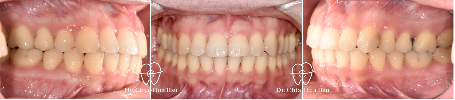
治療前
治療後
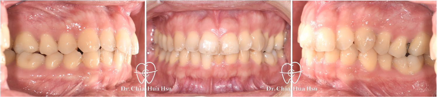
治療前
治療後
治療前
治療後
治療前
治療後
治療前
治療後