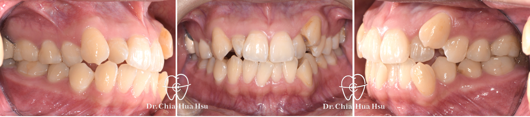
- 病患主訴:牙齒凌亂擁擠、咬合不正,希望能夠不要拔牙。
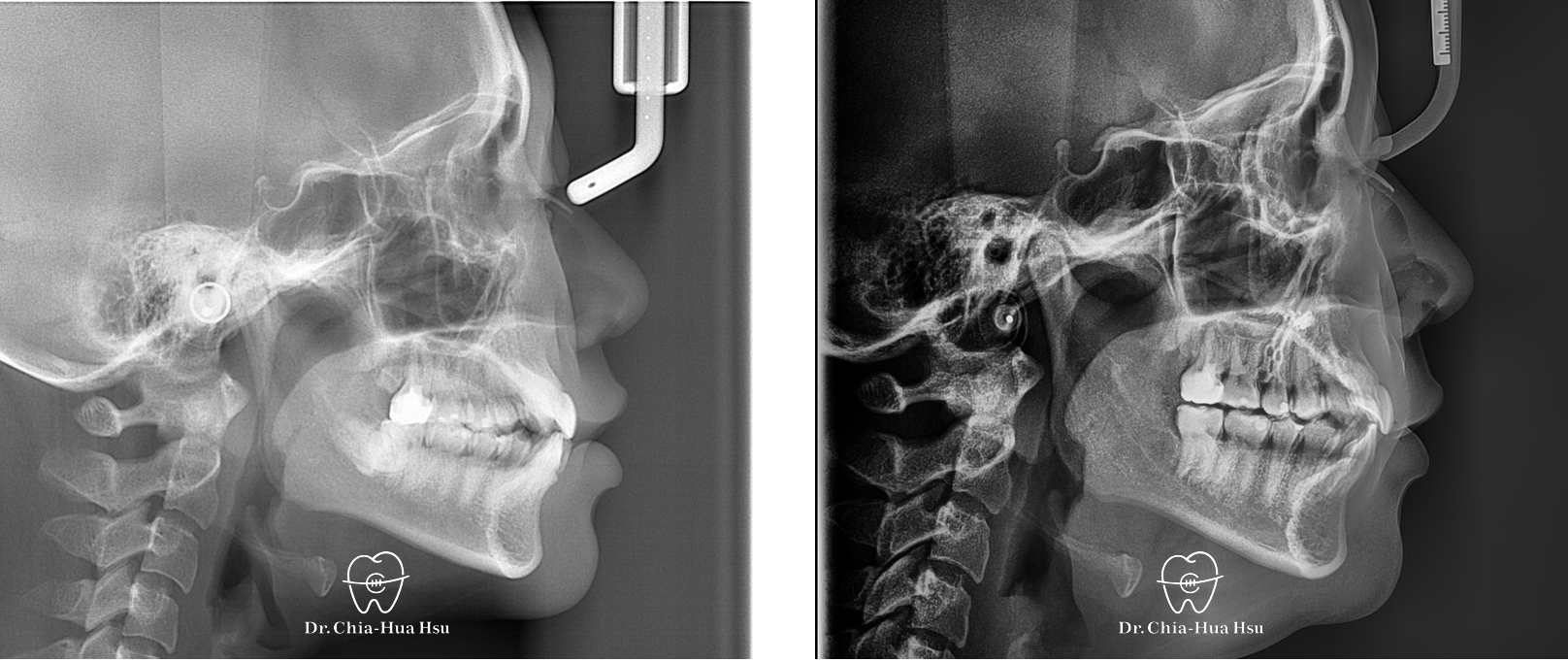
- 問題分析:患者是標準的骨骼一類咬合(Skeletal Class I)伴隨齒列擁擠。
- 治療方式:雖然患者的齒列凌亂程度甚為嚴重,但是考量到患者外觀、門牙可以往外移動一些,而且尚有智齒空間可以退後,因此最後選擇隱適美治療,不拔小臼齒,利用骨釘與骨板退後齒列,同時讓門牙向外推出去一些,並撐寬牙弓以獲得空間。
- 治療時間:3 年。
患者治療中期搬到美國居住,每年只回診一次,不過因為患者有認真佩戴牙套,也定期拍照記錄讓許醫師遠端監控,才能順利完成治療! - 治療結果:齒列排齊,笑容更加燦爛與自信。
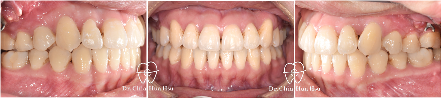
治療前
治療後
治療前
治療後
治療前
治療後
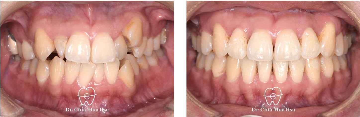
治療前
治療後
治療前
治療後
第一套隱適美牙套(50副)
第二套 追加牙套 additional aligner(25副)
第三套 追加牙套 additional aligner(10副)
第四套 最後的追加牙套 additional aligner(25副)
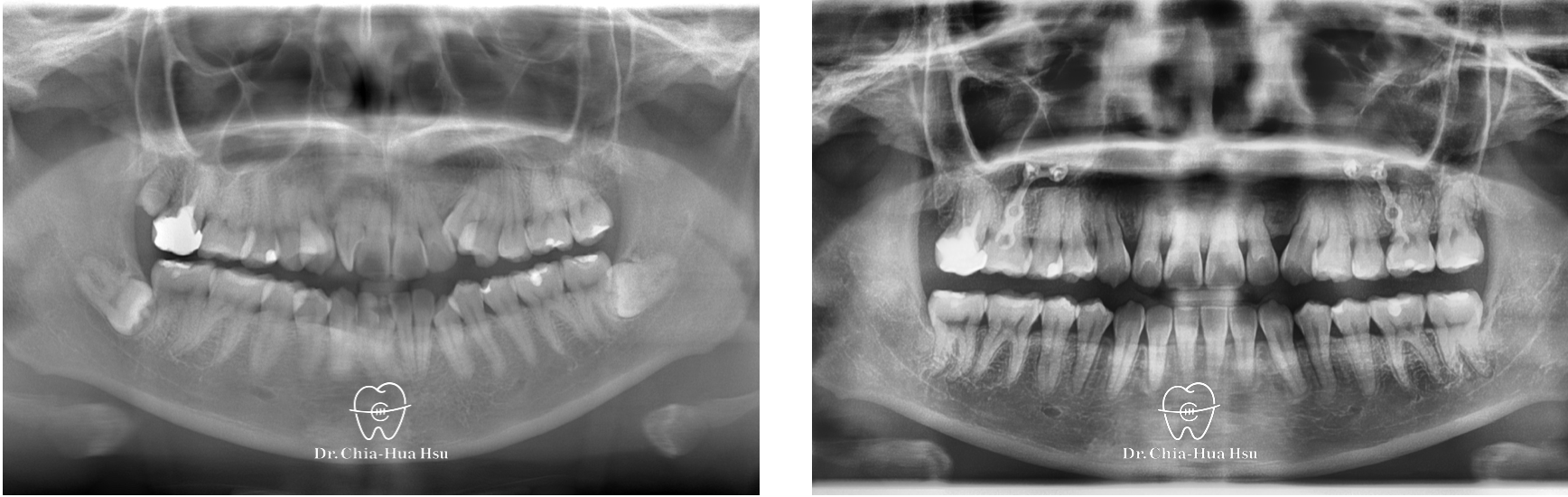
治療前
治療後
治療前
治療後