隱適美、暴牙、牙周病、二次矯正、跨科治療

成人矯正 | 隱適美矯正 | 非拔牙治療 | 骨釘
  • 這位六十幾歲退休的先生,年輕時有做過矯正治療,年紀大了以後因為牙周病的關係牙齒又亂掉,因此來找許醫師做二次矯正治療。
  • 病患主訴:在意暴牙和牙齒不整齊。
  • 問題分析:患者除了暴牙、牙齒不整齊和黑三角縫明顯,還有牙周病的問題。
  • 治療方式:在病患牙周治療結束後,與患者討論治療方案,最後使用對牙周健康友善的隱適美治療,並搭配上顎骨釘的使用,來改善患者的暴牙與齒列不正。後續也透過美學樹脂補牙來處理患者下顎門牙黑三角縫的問題。
  • 治療時間:3 年 2 個月。
  • 治療結果:在與牙周病科醫師、牙體復形科醫師的協同治療下,改善患者暴牙和齒列不正,恢復患者的牙周健康與美觀。
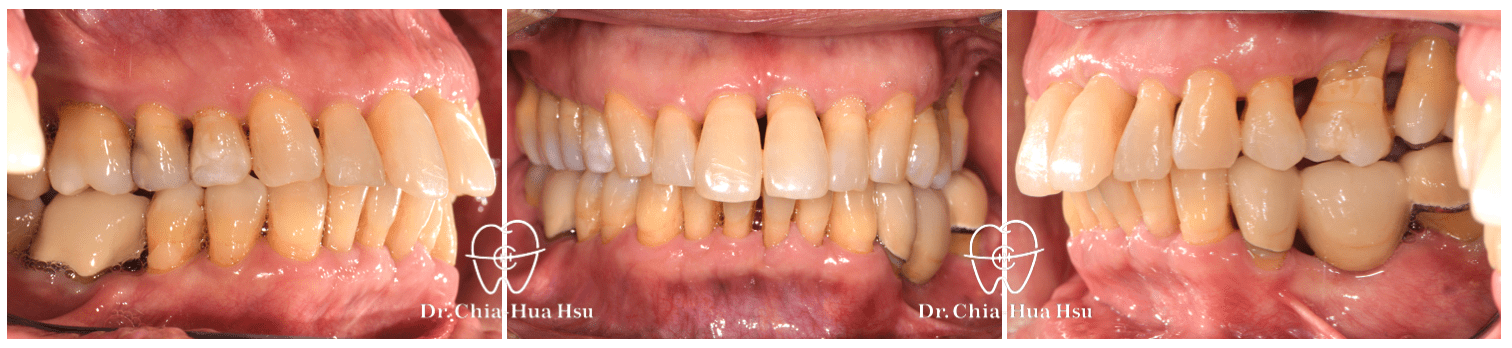
治療前
治療後
治療前
治療後
治療前
治療後
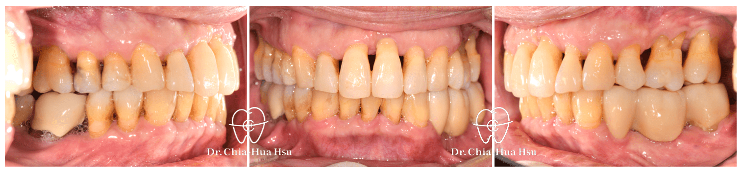
治療中期

矯正治療中期:使用隱適美搭配骨釘來讓上排齒列退後。隱適美治療給予的矯正力量輕柔和緩,也方便病人清潔牙齒,非常適合牙周病的患者。

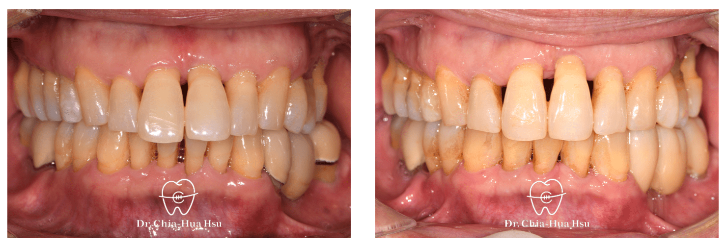
治療前
治療後
治療前
治療後
隱適美牙套數位規劃
治療前
治療後
治療前
治療後
Picture of 許家樺醫師

許家樺醫師

身為齒顎矯正專科醫師,我期許自己保持著細膩度和同理心去面對我的病人,並且不斷精進齒顎矯正學術和技術上的細節,提供病人更全方位的治療。

關於許醫師 »
Picture of 許家樺醫師

許家樺醫師

身為齒顎矯正專科醫師,我期許自己保持著細膩度和同理心去面對我的病人,並且不斷精進隱形矯正學術和技術上的細節,提供病人更全方位的治療。

關於許醫師 »
error: Content is protected !!