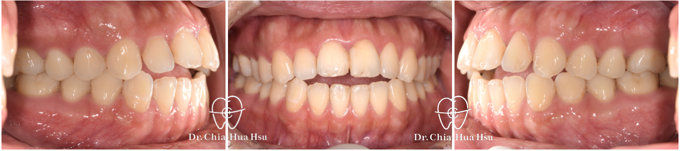
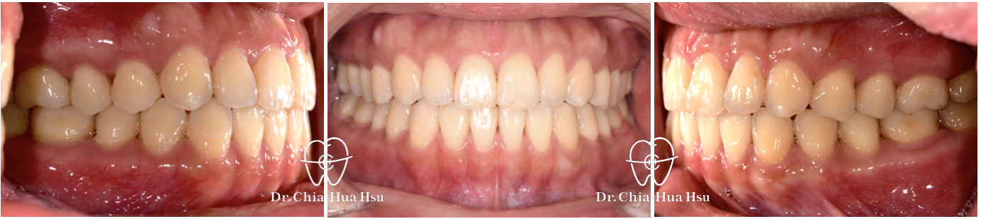
開咬

成人矯正 | 金屬矯正 | 非拔牙治療
  • 病患主訴:從小就前牙開咬,不論是美觀或進食上都困擾許久。
  • 問題分析:患者是骨骼一類咬合(Skeletal Class I)合併前牙開咬。
  • 治療方式:使用自鎖式金屬矯正器,配合齒間鄰接面修磨,再搭配齒間橡皮筋的使用,使開咬順利解決。另外,也有教導患者正確的舌頭擺放位置與運動練習。
  • 治療時間:9個月。
  • 治療結果:咬合恢復正常,微笑曲線更自然!
治療前
治療後
治療前
治療後
治療前
治療後
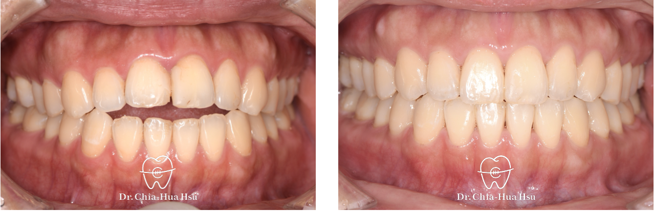
治療前
治療後
治療前
治療後
治療前
治療後
治療前
治療後
Picture of 許家樺醫師

許家樺醫師

身為齒顎矯正專科醫師,我期許自己保持著細膩度和同理心去面對我的病人,並且不斷精進齒顎矯正學術和技術上的細節,提供病人更全方位的治療。

關於許醫師 »
Picture of 許家樺醫師

許家樺醫師

身為齒顎矯正專科醫師,我期許自己保持著細膩度和同理心去面對我的病人,並且不斷精進隱形矯正學術和技術上的細節,提供病人更全方位的治療。

關於許醫師 »
error: Content is protected !!