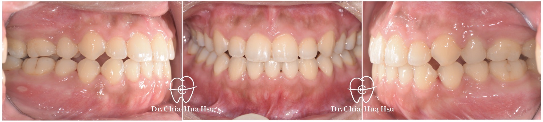
- 病患主訴:牙齒凌亂擁擠、笑的時候看到牙齦。
- 問題分析:患者是屬於長臉型,有笑齦問題、齒列擁擠以及先天性缺失下顎門牙一顆(下顎三顆門牙)。
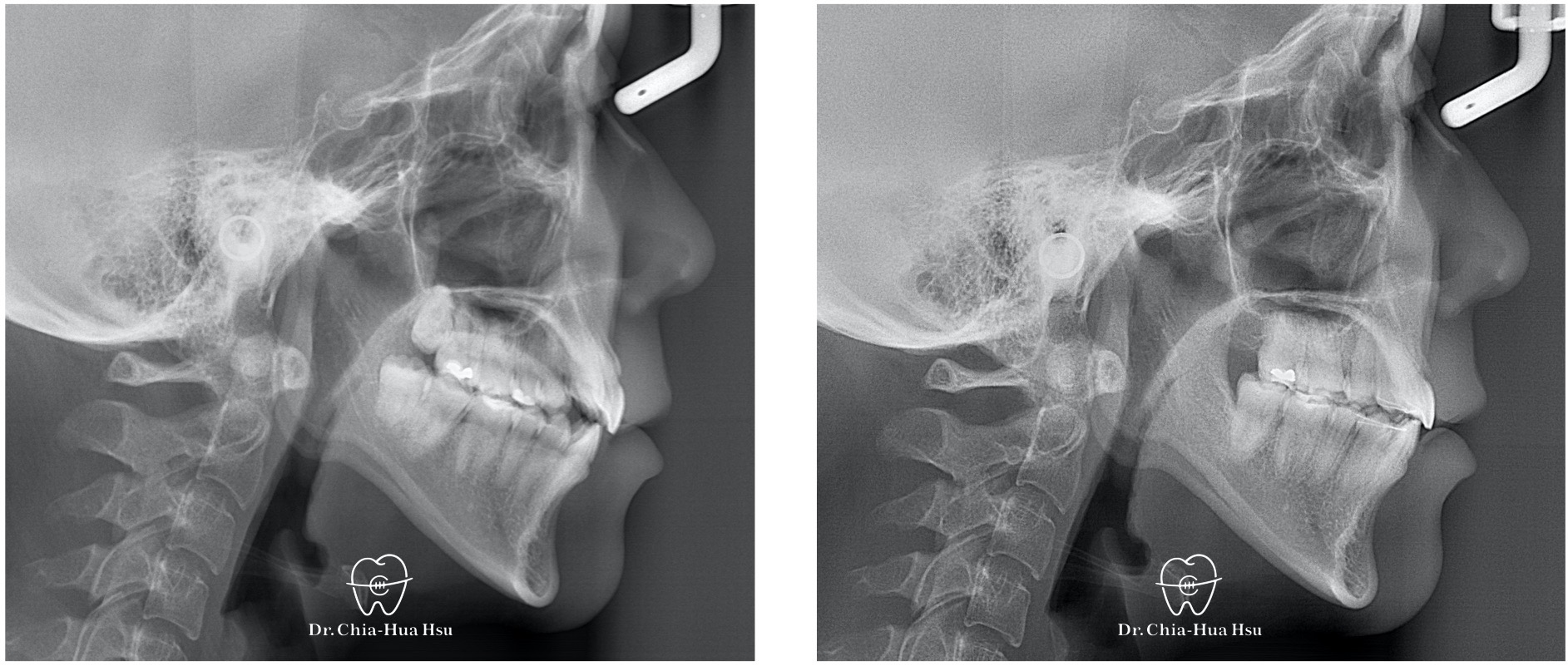
- 治療方式:使用傳統金屬矯正器,拔除上顎兩顆小臼齒以獲得空間,並搭配上顎骨釘的使用,改善笑齦問題。
- 治療時間:2 年。
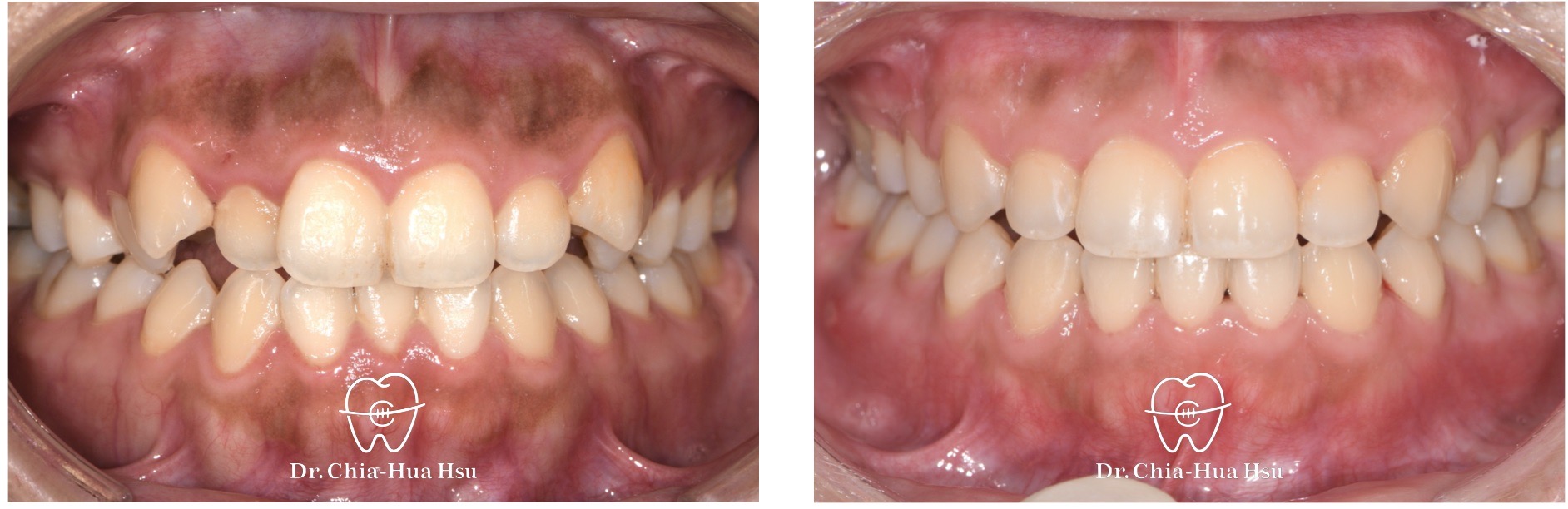
- 治療結果:齒列排齊,改善笑齦 ; 然而,因為下顎先天性缺失一顆門牙,上下牙齒比例與咬合對應上結果較為妥協。
治療前
治療後
治療前
治療後
- 治療過程:治療過程中,上顎使用上顎頰側與人中骨釘,將上顎齒列往上壓入,改善笑齦。
- 矯正小知識:
- 「笑齦」(Gummy Smile)是指微笑時露出牙齦的比例過多,通常定義為微笑時牙齦露出超過 3 毫米。有些人覺得這樣的笑容可愛自然,但也有人會覺得笑齦讓牙齒看起來短,或影響整體美觀。
- 「笑齦」原因可能有:上唇活動度較大 → 微笑時上唇抬得很高,牙齦容易外露。牙齒萌出位置較低或牙冠偏短 → 牙齒比例看起來小,牙齦顯得多。牙齦增生 → 牙齦組織因發炎、藥物或其他因素變多。上顎骨垂直過度生長 → 骨性問題導致牙齦露出比例增加。
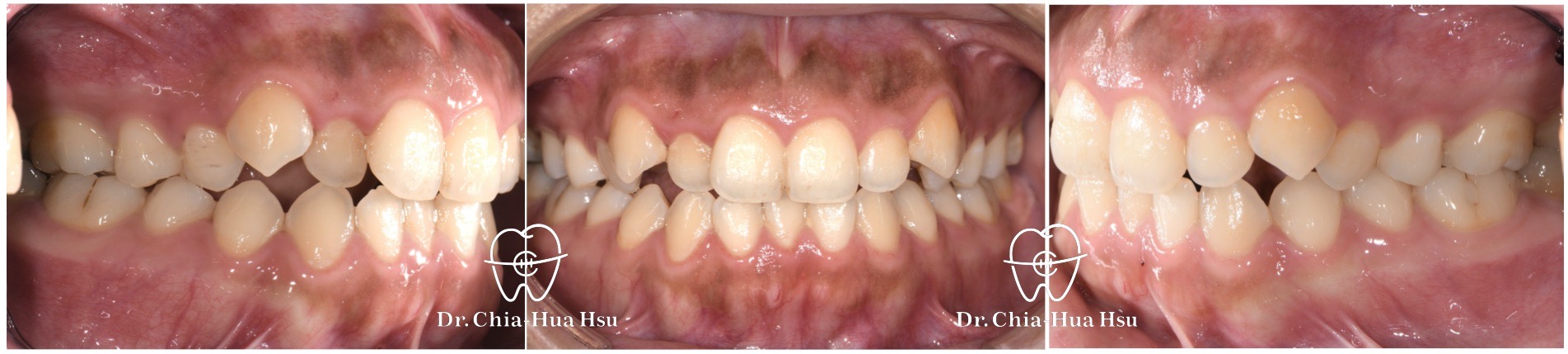
治療前
治療後
治療前
治療後
治療前
治療後