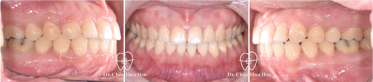
治療前
治療後
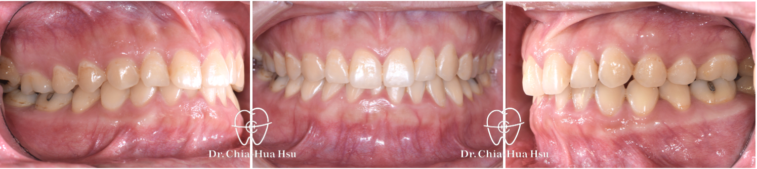
治療前
治療後
治療前
治療後
- 左圖為治療過程的上顎裝置:
- 利用顎側橫向矯正桿 (TPA , trans-palatal arch) 焊接延伸金屬勾,配合橡皮筋的使用,以利頰側傾倒的右上大臼齒往內移動。
- 雙側頰側也利用骨釘以及橡皮圈將上顎齒列退後
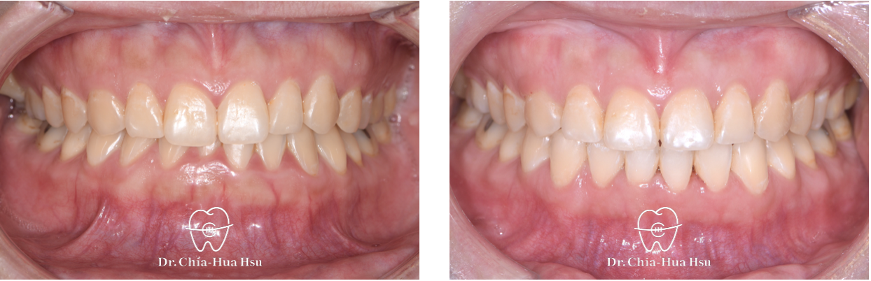
治療前
治療後