正顎手術、下顎後縮、睡眠呼吸中止、咬合不正

成人矯正 | 金屬矯正 | 正顎手術
  • 有在長期重訓的張先生,年輕時做過矯正,不過因為患者下顎後縮(小下巴)先天構造上呼吸道比較狹窄,隨著年紀漸增以及增肌過程體重增加,進而導致患者出現嚴重的睡眠呼吸中止症,患者嘗試過正壓呼吸器但是戴不住,因而尋求正顎手術治療。
  • 病患主訴:下顎後縮、睡眠呼吸中止、二級骨性咬合不正。
  • 問題分析:患者是標準的骨骼二類咬合(Skeletal Class II),下巴後縮、有睡眠呼吸中止症以及齒列不正。
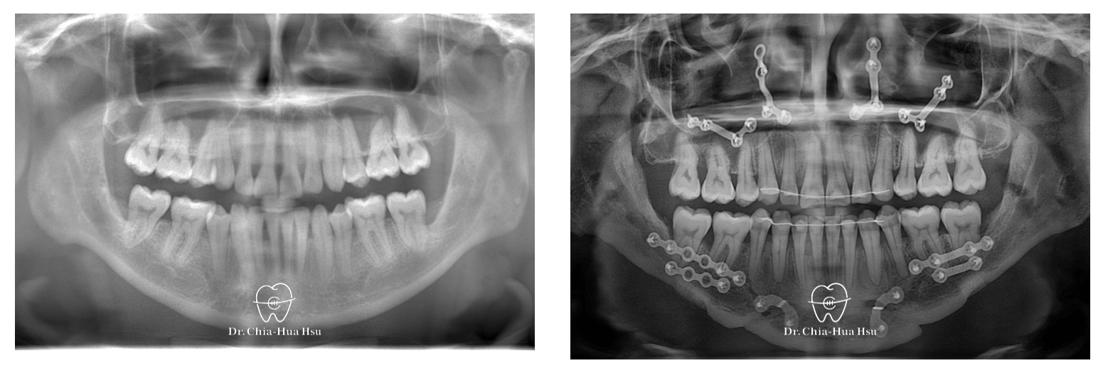
  • 治療方式:使用傳統金屬矯正器,合併正顎手術(雙顎),以手術方式將下顎骨前移改善呼吸道與外觀。
  • 治療時間:2 年 7 個月。
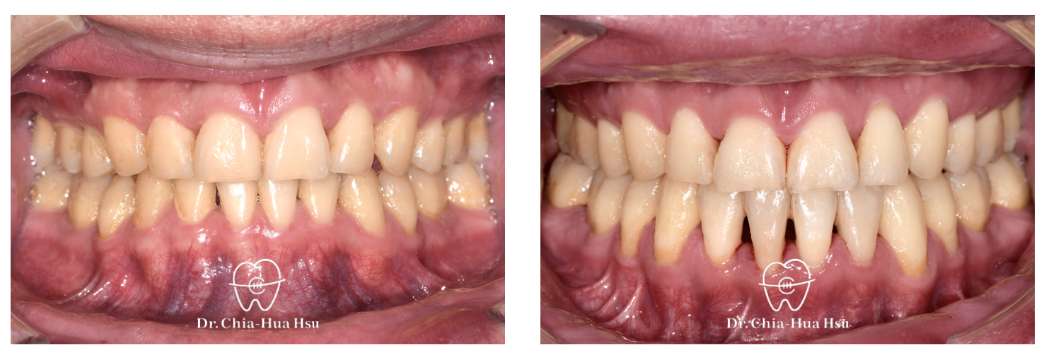
  • 治療結果:齒列排齊,睡眠呼吸中止症改善許多,臉型變長、下巴輪廓也較明顯。
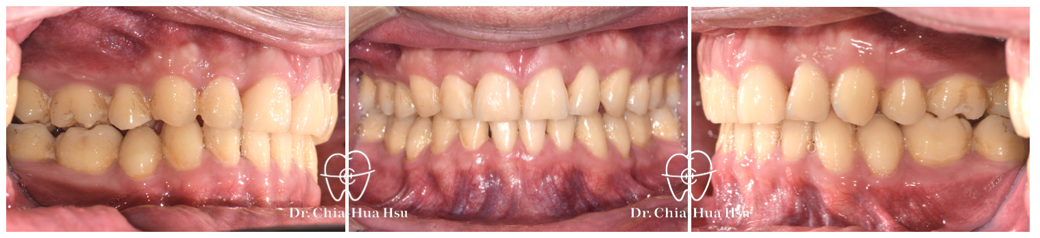
治療前
治療後
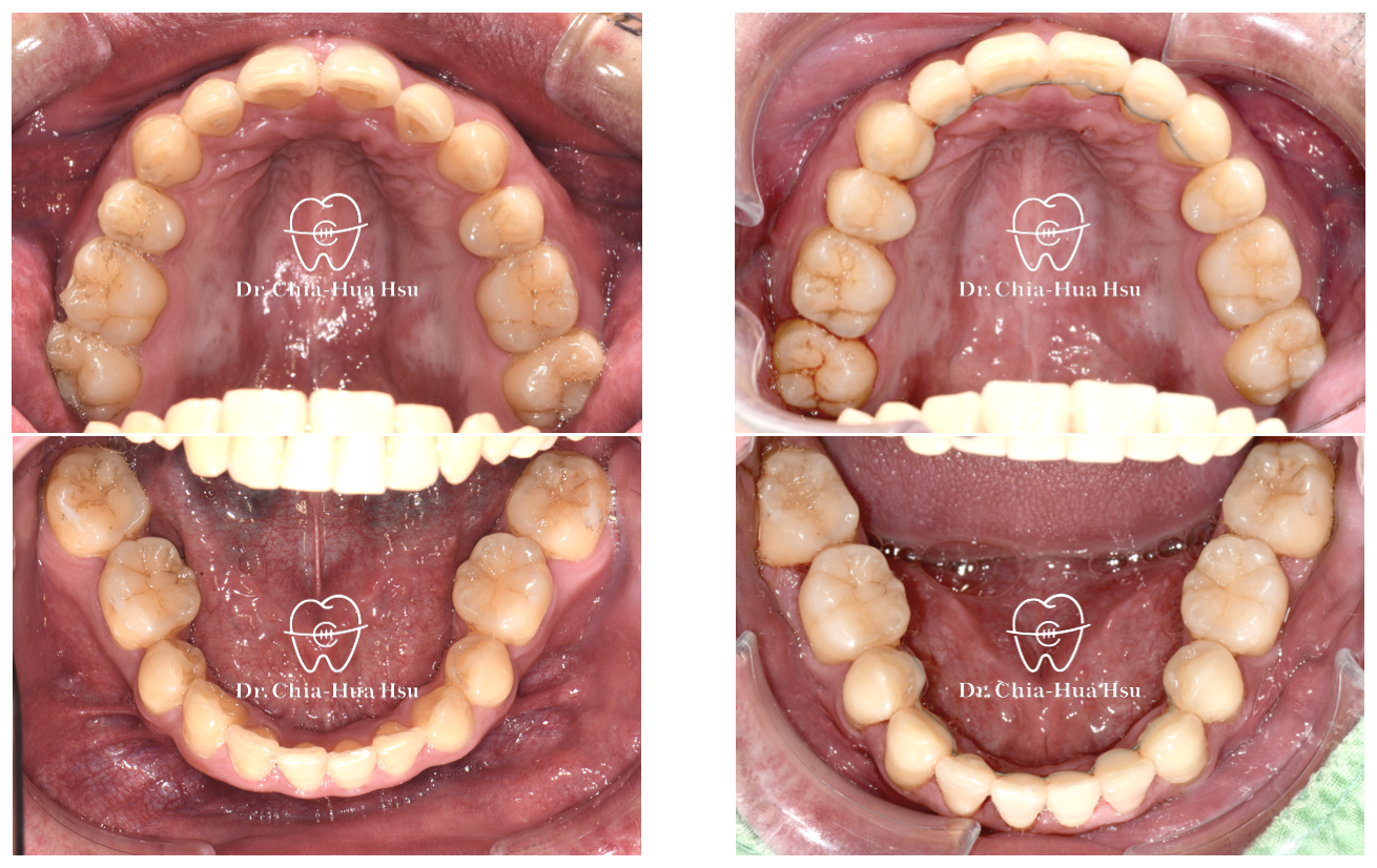
治療前
治療後
治療前
治療後
治療前
治療後
治療前
治療後
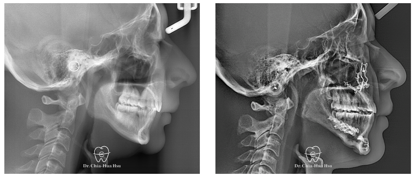
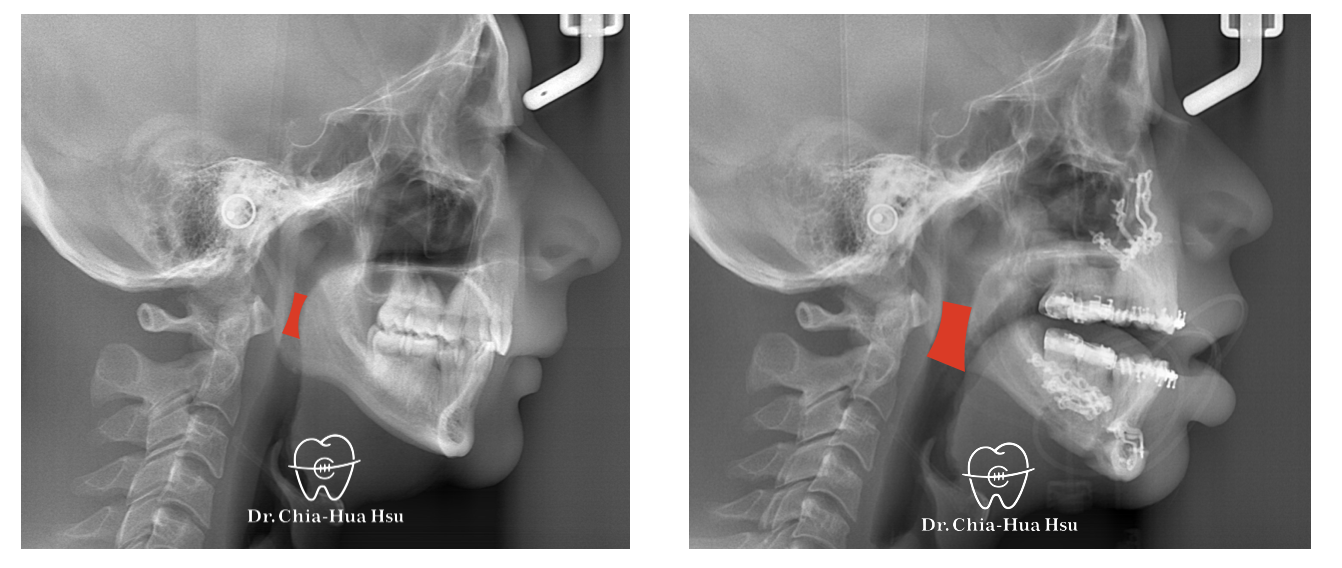
治療前
正顎手術後一天

治療過程:患者有下顎後縮合併有睡眠呼吸中止症,接受了雙顎前移手術。
左圖為治療前之側顱X光攝影,右圖為手術後一天拍攝之側顱X光攝影,明顯可見其呼吸道狹窄獲得改善,患者術後睡眠品質亦大幅改善。

治療前
治療後
治療前
治療後
Picture of 許家樺醫師

許家樺醫師

身為齒顎矯正專科醫師,我期許自己保持著細膩度和同理心去面對我的病人,並且不斷精進齒顎矯正學術和技術上的細節,提供病人更全方位的治療。

關於許醫師 »
Picture of 許家樺醫師

許家樺醫師

身為齒顎矯正專科醫師,我期許自己保持著細膩度和同理心去面對我的病人,並且不斷精進隱形矯正學術和技術上的細節,提供病人更全方位的治療。

關於許醫師 »
error: Content is protected !!