暴牙、嘴凸、深咬

成人矯正 | 金屬矯正 | 拔牙治療 | 骨釘
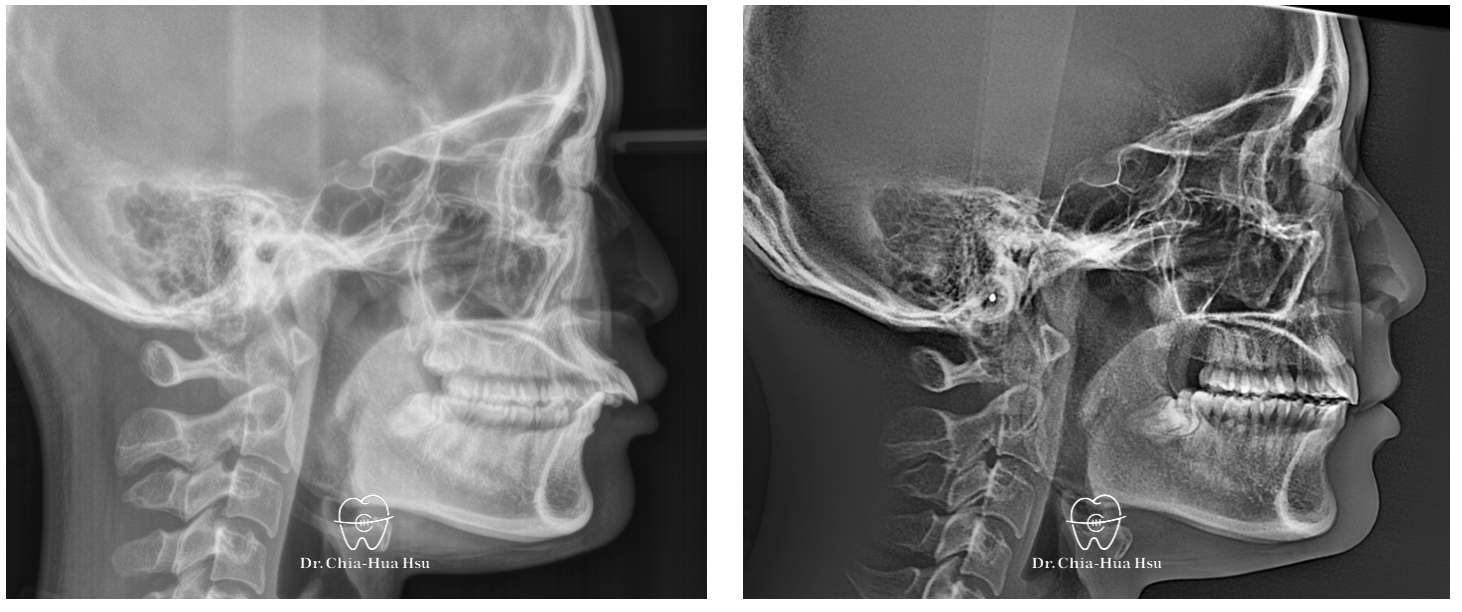
  • 病患主訴:暴牙、嘴凸、深咬。
  • 問題分析:患者是牙齒二類咬合(Skeletal Class II)、方臉型、暴牙以及齒列不整齊。
  • 治療方式:使用傳統金屬矯正器,考量到患者臉型不適合退太多,因此只拔除上顆兩顆小臼齒以及兩支暫時性迷你骨釘來完成治療。
  • 治療時間:2 年 7 個月。
  • 治療結果:齒列排齊,嘴凸改善,外觀變得更和諧,笑容也更有自信。
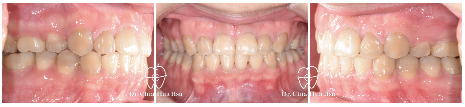
治療前
治療後
治療前
治療後
治療前
治療後
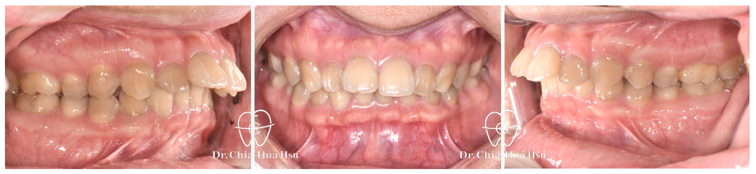
  • 矯正過程:患者因為有深咬的問題,使用「輔助線」來改善深咬。
  • 矯正小知識:這裡的「輔助線」為『壓低弓線 (intrusive arch)』。intrusive arch放置在大臼齒的矯正器,並與前牙主要弓線相連,利用大臼齒(後)當支點對下顎門牙(前)提供向下的力量,而大臼齒本身會受到反作用力向上,這兩種牙齒移動都有助於改善深咬!
治療前
治療前
治療後
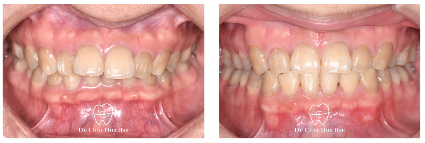
治療前
治療後
治療前
治療後
治療前
治療後
Picture of 許家樺醫師

許家樺醫師

身為齒顎矯正專科醫師,我期許自己保持著細膩度和同理心去面對我的病人,並且不斷精進齒顎矯正學術和技術上的細節,提供病人更全方位的治療。

關於許醫師 »
Picture of 許家樺醫師

許家樺醫師

身為齒顎矯正專科醫師,我期許自己保持著細膩度和同理心去面對我的病人,並且不斷精進隱形矯正學術和技術上的細節,提供病人更全方位的治療。

關於許醫師 »
error: Content is protected !!