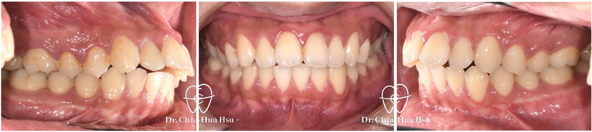
- 風趣幽默的20歲黃同學因為暴牙來院求診,由於患者下巴後縮又暴牙屬於複雜困難病例,還好病人十分配合療程,在許醫師悉心治療下,經歷兩年左右,讓治療順利完成。
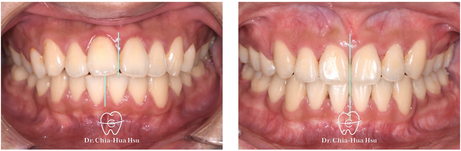
- 病患主訴:暴牙、嘴凸、中線歪斜。
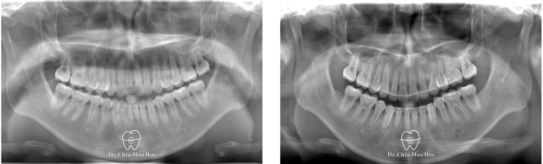
- 問題分析:患者是嚴重的骨骼二類咬合(Skeletal Class II)、下巴後縮、暴牙以及齒列不整齊。
- 治療方式:使用傳統金屬矯正器,並拔除四顆小臼齒,配合多支暫時性迷你骨釘來完成治療。
- 治療時間:2 年 2 個月。
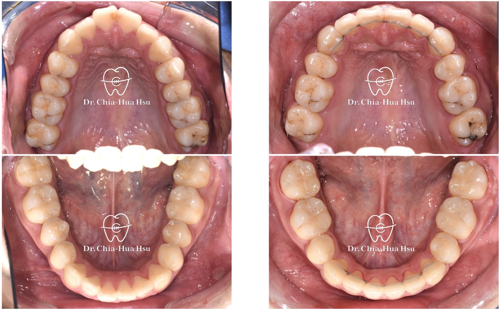
- 治療結果:齒列排齊,外觀明顯改善,笑容更自信。
治療前
治療後
治療前
治療後
治療前
治療後
治療前
治療後
治療前
治療後
治療前
治療後
治療前
治療後