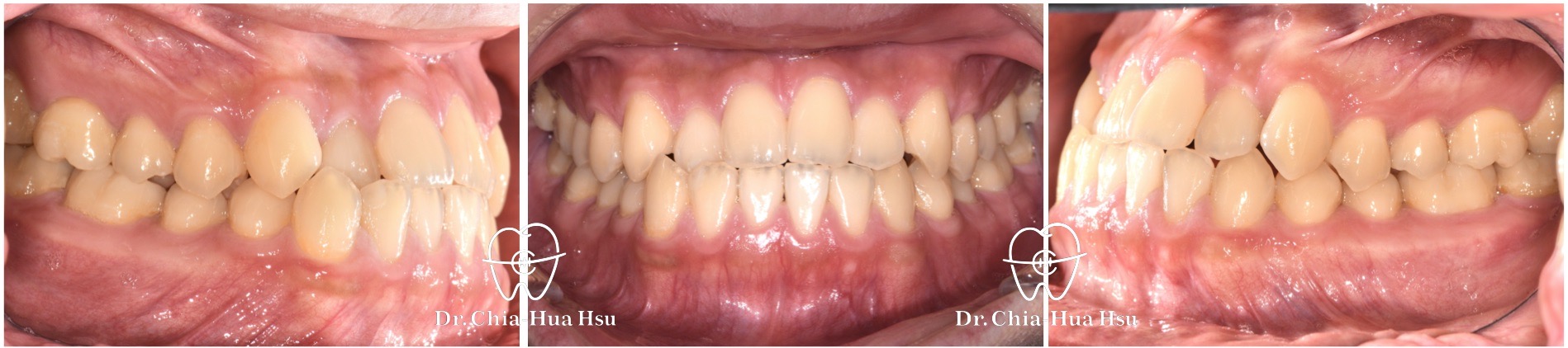
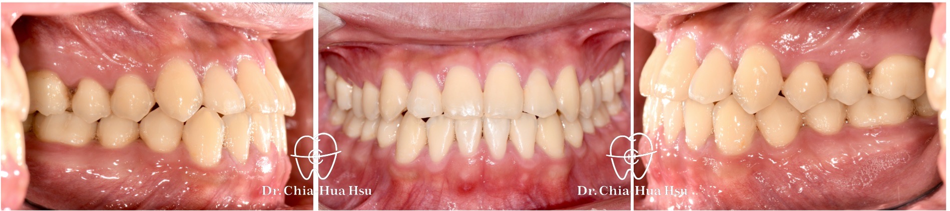
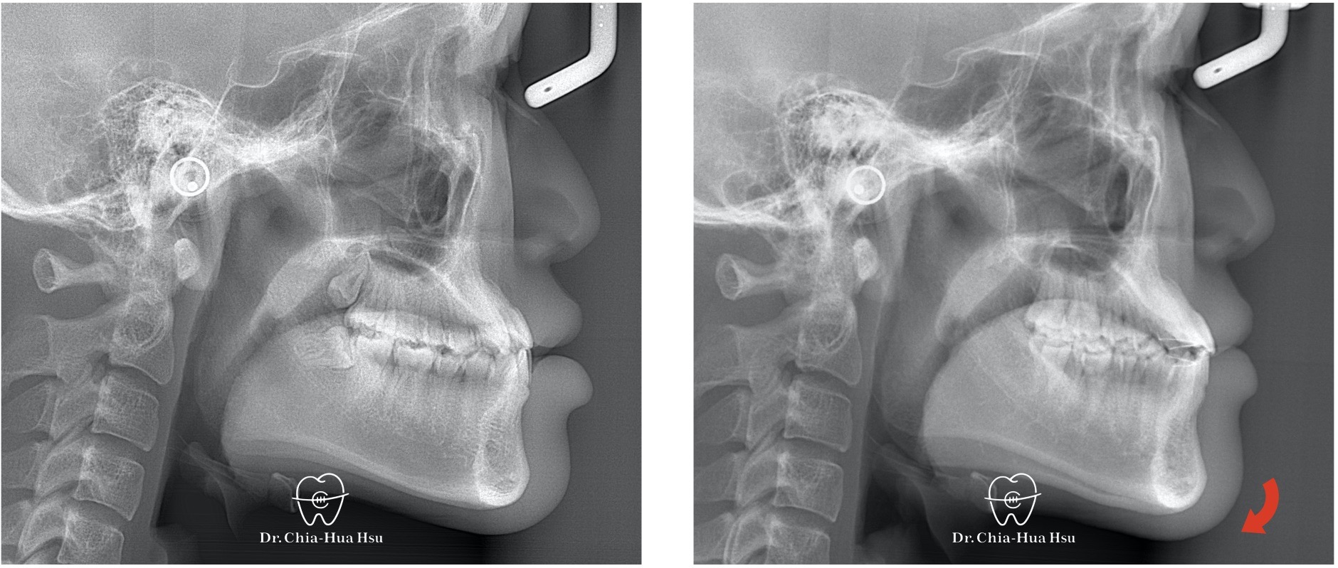
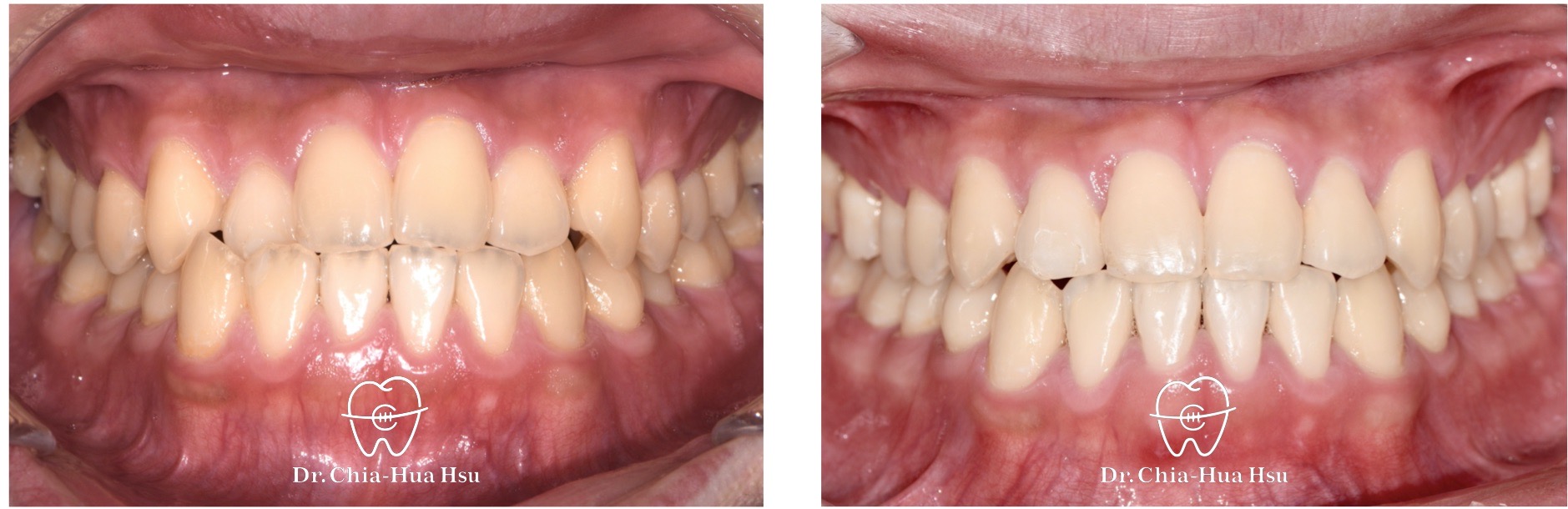
戽斗、錯咬

成人矯正 | 金屬矯正 | 非拔牙治療
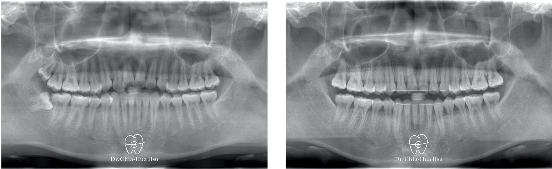
  • 病患主訴:前牙錯咬、不整齊,有戽斗臉型,但不想做正顎手術。
  • 問題分析:患者是輕微的骨骼三類咬合(Skeletal Class III)、下巴過長(戽斗)、前牙錯咬以及齒列不整齊。
  • 治療方式:使用傳統金屬矯正器,並搭配垂直向橡皮筋牽引(Vertical elastics)使牙齒萌出。
  • 治療時間:2 年。
  • 治療結果:門牙露出增加、齒列排齊 ; 下臉部高度微增使下巴順時針微量旋轉,以修飾戽斗臉型。
治療前
治療後
治療前
治療後
治療前
治療後
治療前
治療後
治療前
治療後
治療前
治療後
治療前
治療後
Picture of 許家樺醫師

許家樺醫師

身為齒顎矯正專科醫師,我期許自己保持著細膩度和同理心去面對我的病人,並且不斷精進齒顎矯正學術和技術上的細節,提供病人更全方位的治療。

關於許醫師 »
Picture of 許家樺醫師

許家樺醫師

身為齒顎矯正專科醫師,我期許自己保持著細膩度和同理心去面對我的病人,並且不斷精進隱形矯正學術和技術上的細節,提供病人更全方位的治療。

關於許醫師 »
error: Content is protected !!