戽斗、錯咬、齒間縫隙

成⼈矯正 | ⾦屬矯正 | 正顎⼿術
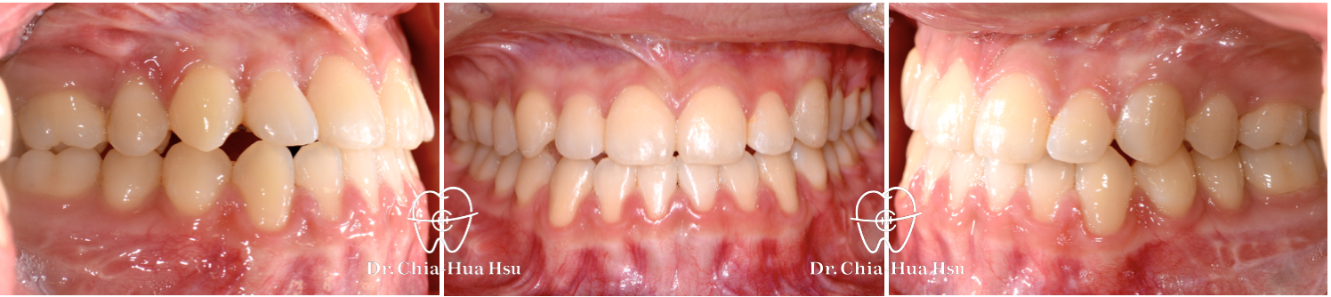
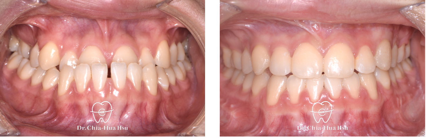
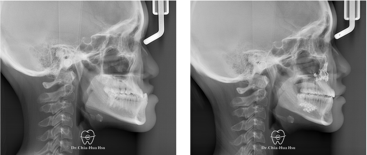
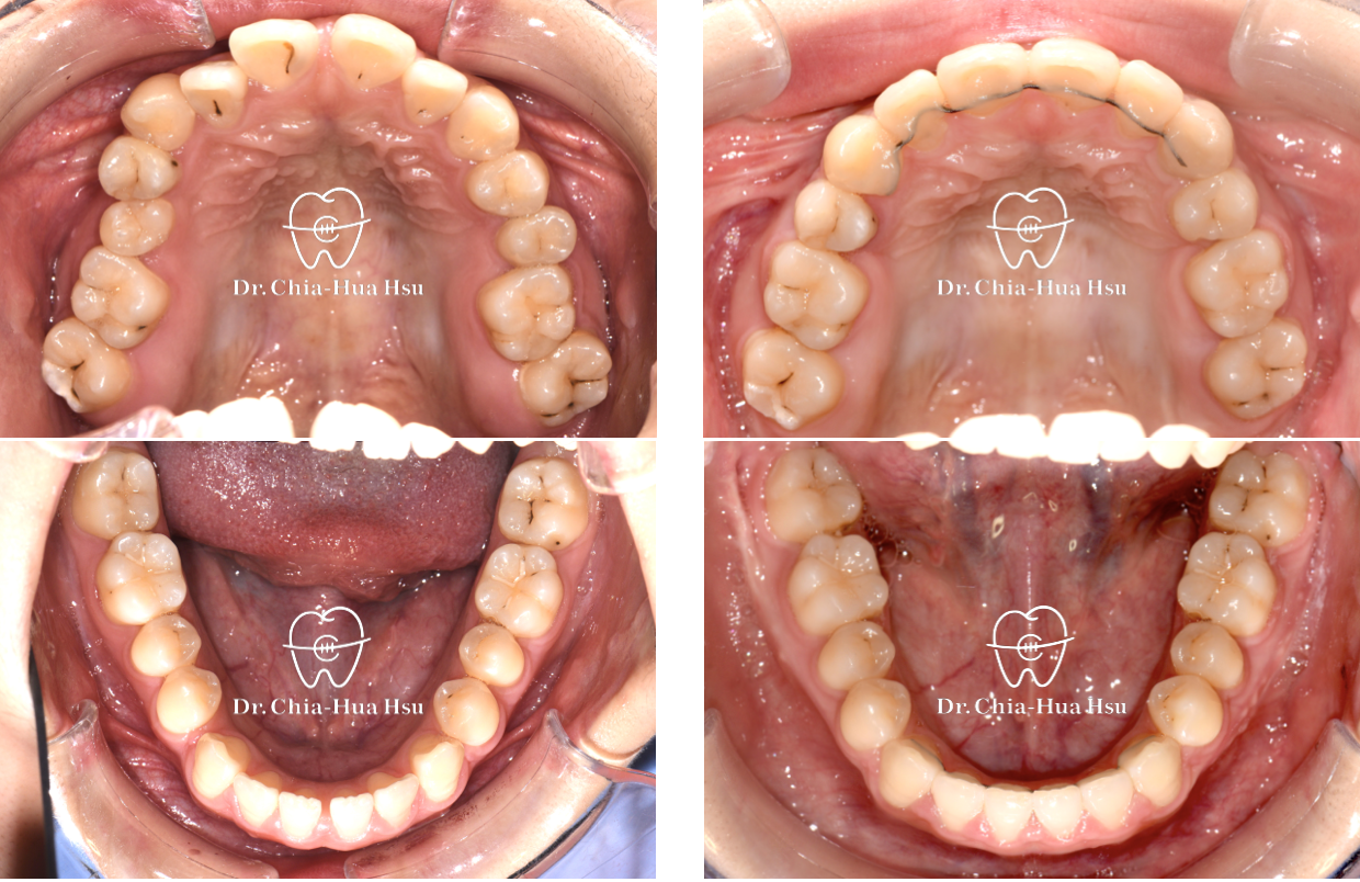
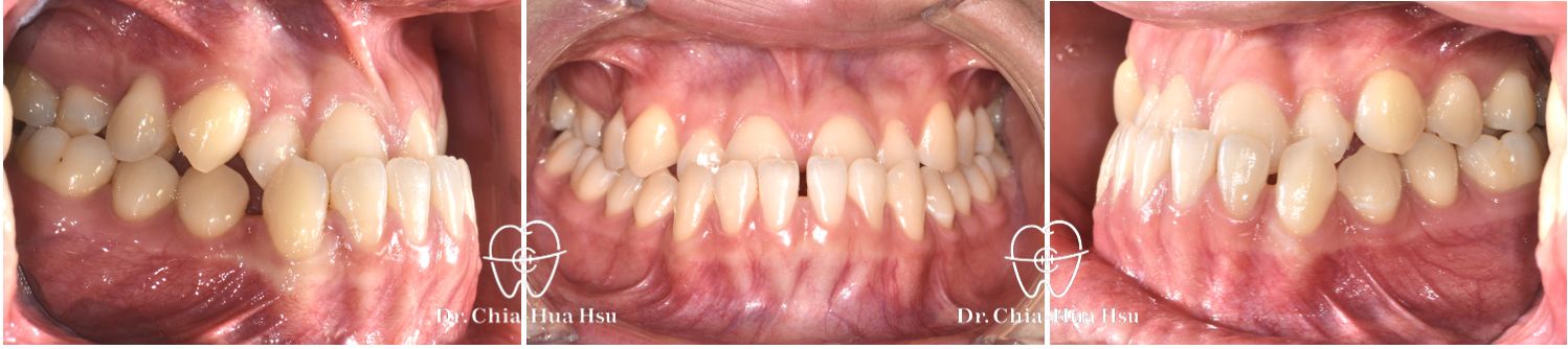
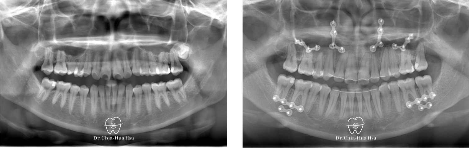
  • 20多歲的日籍大學生小時候有做過矯正治療,不過下顎骨隨著年紀持續生長,變成戽斗且開咬的樣子。於是,患者接受了矯正合併正顎手術,不但改善外觀,也改善了咬合功能與牙齒排列(患者很開心可以咬斷麵條)。
  • 病患主訴:戽斗、前牙開咬。
  • 問題分析:患者是標準的骨骼三類咬合(Skeletal Class III),下巴明顯較長,還有上顎牙弓過窄、開咬以及齒列不正。
  • 治療方式:使用傳統金屬矯正器,合併正顎手術(雙顎),上顎拔除兩顆小臼齒以利手術方式進行上顎牙弓擴寬。
  • 治療時間:1 年 7 個月。
  • 治療結果:齒列排齊,咬合功能恢復,外觀更和諧。
治療前
治療後
治療前
治療後
治療前
治療後
治療前
治療後
治療前
治療後
治療前
治療後
治療前
治療後
Picture of 許家樺醫師

許家樺醫師

身為齒顎矯正專科醫師,我期許自己保持著細膩度和同理心去面對我的病人,並且不斷精進齒顎矯正學術和技術上的細節,提供病人更全方位的治療。

關於許醫師 »
Picture of 許家樺醫師

許家樺醫師

身為齒顎矯正專科醫師,我期許自己保持著細膩度和同理心去面對我的病人,並且不斷精進隱形矯正學術和技術上的細節,提供病人更全方位的治療。

關於許醫師 »
error: Content is protected !!