困難案例、先天性缺牙、錯咬、齒間縫隙

成人矯正 | 金屬矯正 | 非拔牙治療
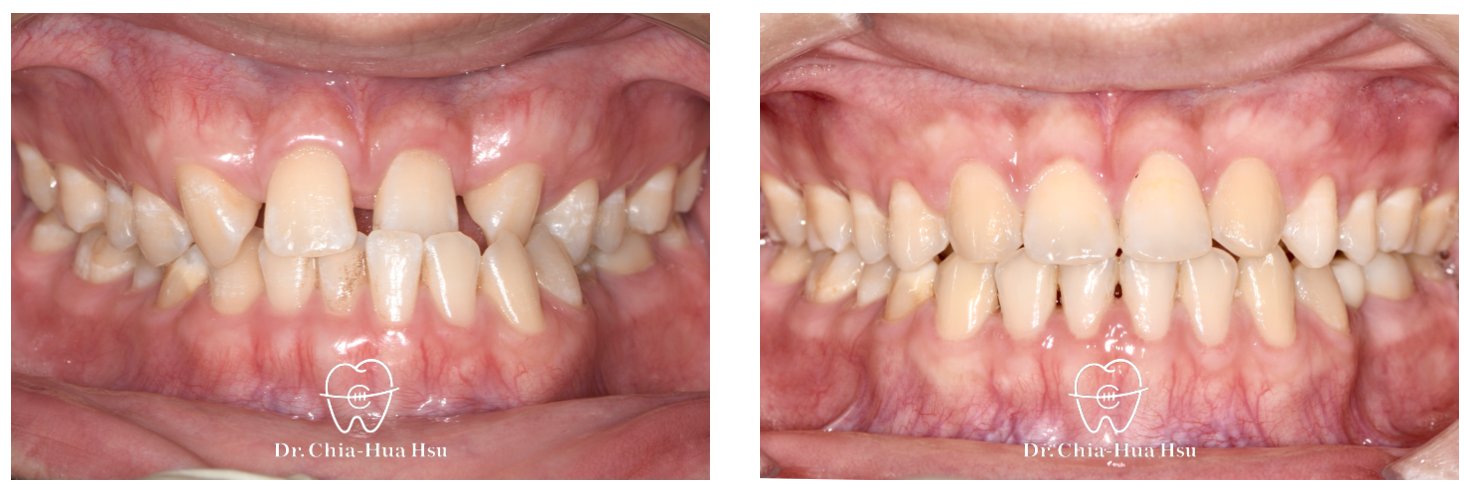
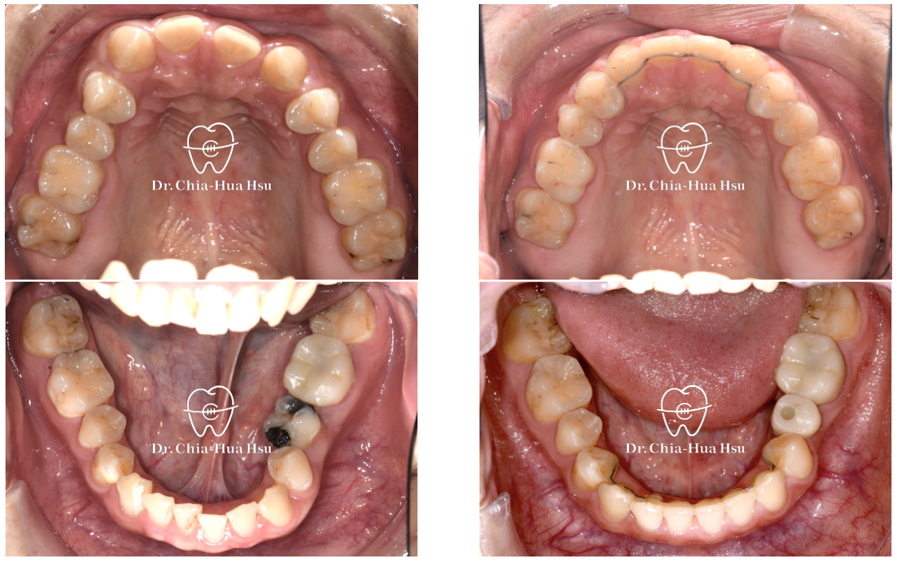
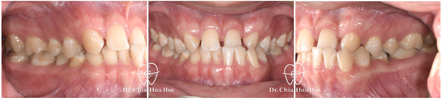
  • 這位醫學系學生因為牙齒不整齊前來求診,諮詢後患者才知道原來他有先天缺牙的問題,由於患者不想植太多牙,和患者討論後決定試試看把牙齒縫隙都盡量關起來。在許醫師的悉心治療下,以最省錢的方式順利讓患者牙齒恢復美觀、重建自信!
  • 病患主訴:在意門牙牙縫和齒列不正。
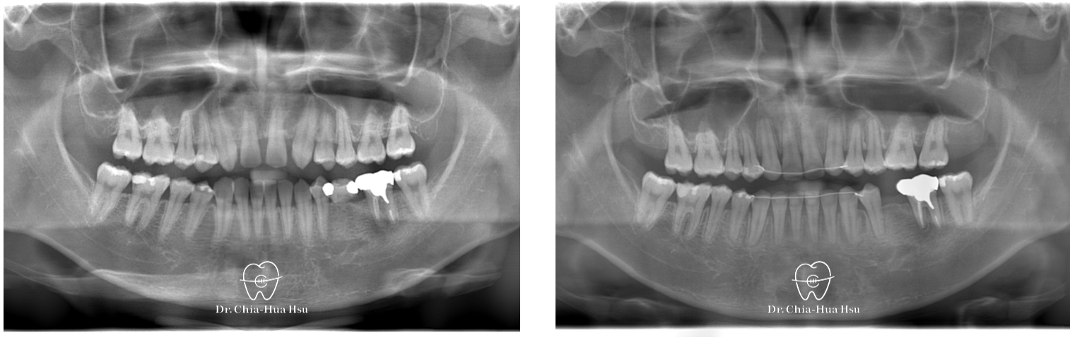
  • 問題分析:患者除了門牙牙縫、齒列不正問題,有先天性缺失上顎雙側側門牙兩顆以及左下第二小臼齒,並且左下方有滯留的乳臼齒,治療難度高。
  • 治療方式:使用傳統金屬矯正器,並搭配拉口內橡皮筋的方式來讓上顎後排牙齒往前移動,以關閉缺牙縫隙。
  • 治療時間:2 年 4 個月。
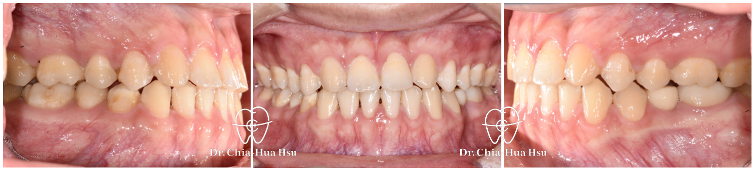
  • 治療結果:改善缺牙、縫隙,以及上下顎咬合關係,左下乳臼齒拔除後以一顆植牙重建。
治療前
治療後
治療前
治療後
治療前
治療後
治療前
治療後
治療前
治療後
治療前
治療後
Picture of 許家樺醫師

許家樺醫師

身為齒顎矯正專科醫師,我期許自己保持著細膩度和同理心去面對我的病人,並且不斷精進齒顎矯正學術和技術上的細節,提供病人更全方位的治療。

關於許醫師 »
Picture of 許家樺醫師

許家樺醫師

身為齒顎矯正專科醫師,我期許自己保持著細膩度和同理心去面對我的病人,並且不斷精進隱形矯正學術和技術上的細節,提供病人更全方位的治療。

關於許醫師 »
error: Content is protected !!