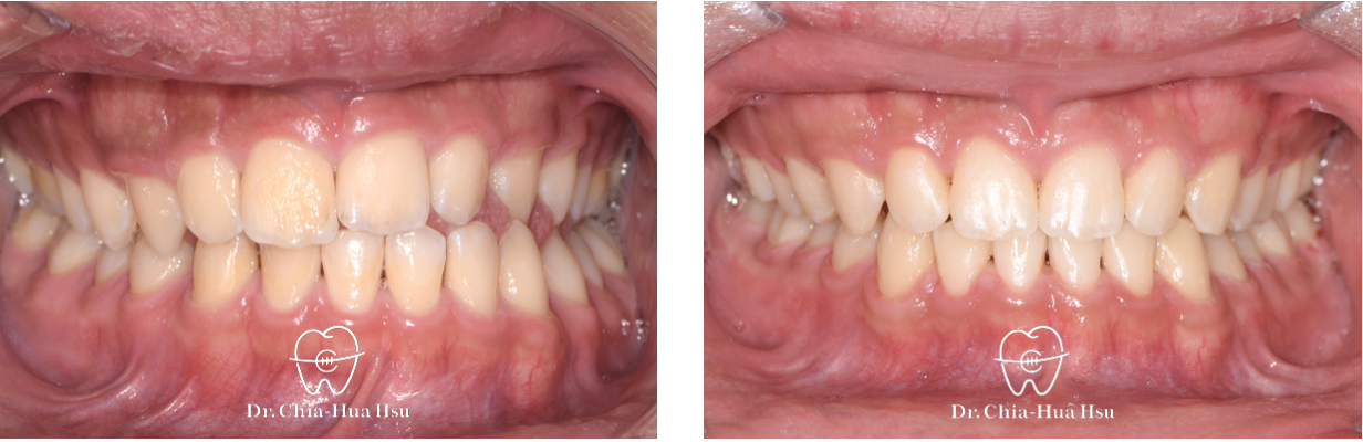
咬合不正、錯咬、咬合平面傾斜

青少年矯正 | 金屬矯正 | 上顎擴弓 | 非拔牙治療
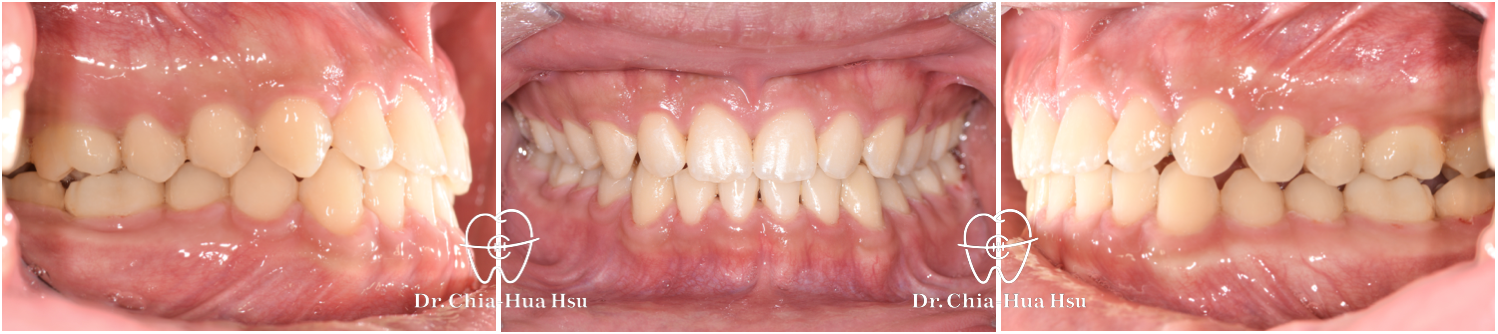
治療前
治療後
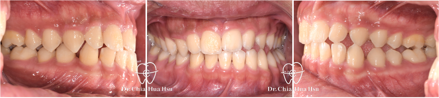
治療前
治療後
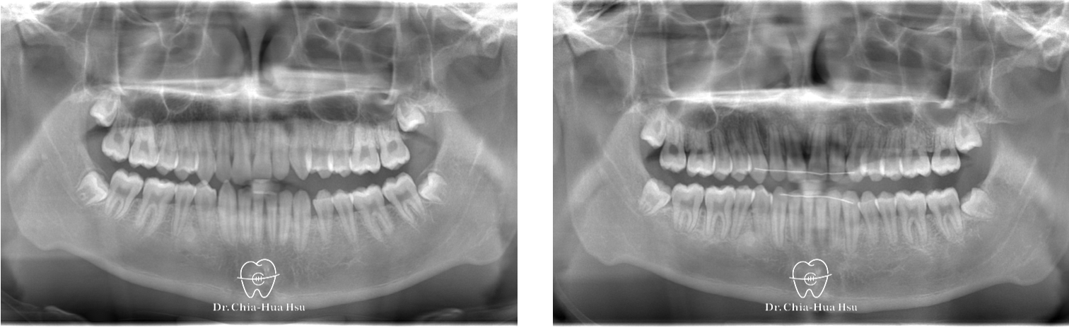
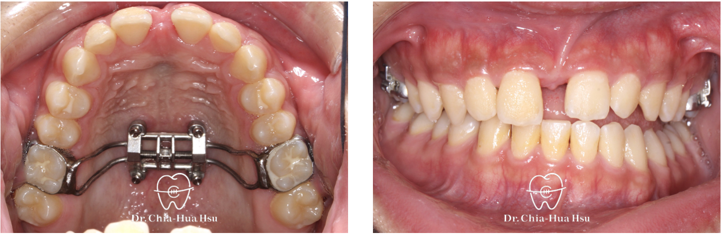
上顎擴弓:青少年使用骨釘輔助上顎擴弓器,將過窄的上顎牙弓撐寬。
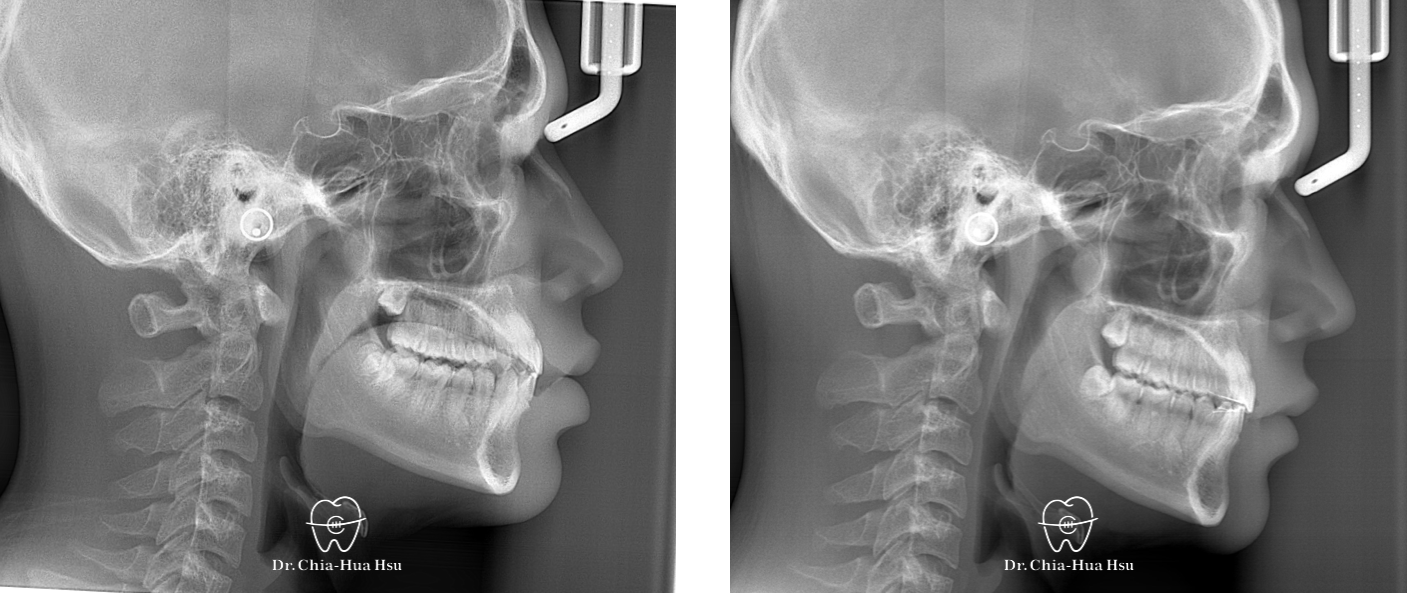
治療中
  • 治療過程:治療過程使用『陰陽線』,來改善咬合平面歪斜的問題。
  • 矯正小知識:『陰陽線』是利用特殊設計的 Beta-titanium arch wire (TMA) 線材(一條往上一條往下,像是太極的陰陽)來調整上顎咬合面的傾斜,改善患者的咬合面傾斜問題,並避免手術的痛苦。
治療前
治療後
治療前
治療後
治療前
治療後
治療前
治療後
Picture of 許家樺醫師

許家樺醫師

身為齒顎矯正專科醫師,我期許自己保持著細膩度和同理心去面對我的病人,並且不斷精進齒顎矯正學術和技術上的細節,提供病人更全方位的治療。

關於許醫師 »
Picture of 許家樺醫師

許家樺醫師

身為齒顎矯正專科醫師,我期許自己保持著細膩度和同理心去面對我的病人,並且不斷精進隱形矯正學術和技術上的細節,提供病人更全方位的治療。

關於許醫師 »
error: Content is protected !!