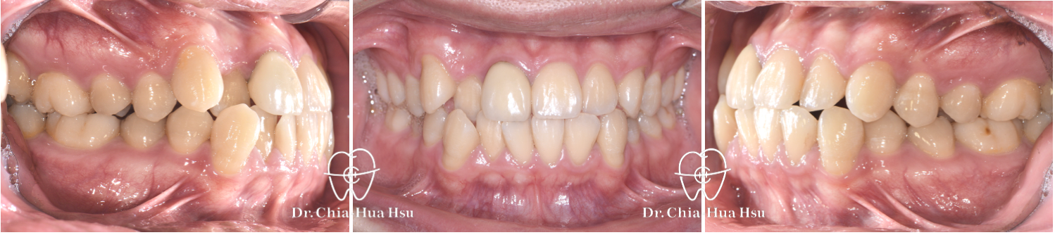
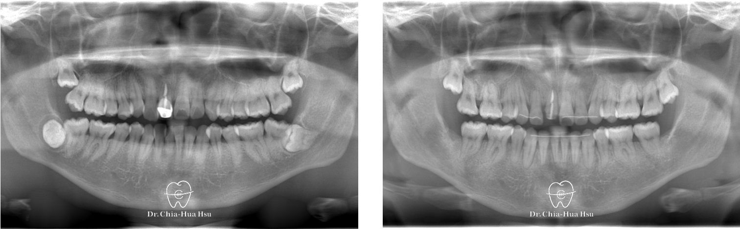
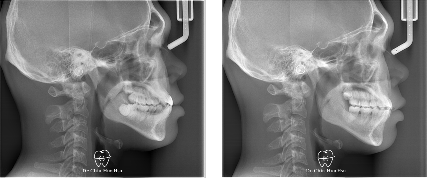
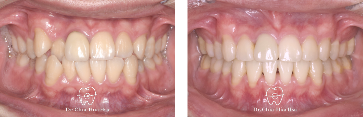
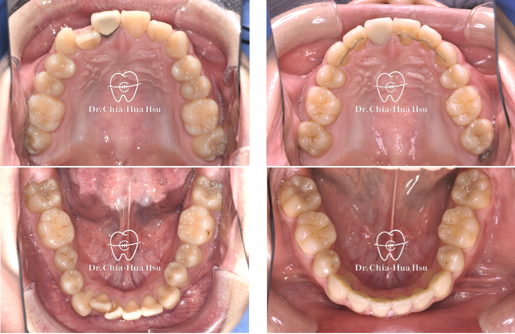
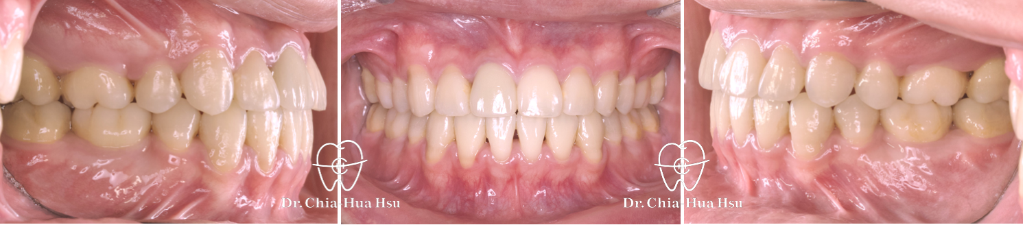
前牙錯咬、齒列擁擠

成人矯正 | ⾦屬矯正 | 拔牙治療
  • 病患主訴:牙齒凌亂擁擠、笑起來不好看。
  • 問題分析:患者是標準的骨骼一類咬合(Skeletal Class I)伴隨齒列擁擠以及前牙錯咬。
  • 治療方式:拔除四顆小臼齒,使用傳統金屬矯正器將牙齒排列整齊、咬合緊閉。
  • 治療時間:1 年 10 個月。
  • 治療結果:齒列排齊,笑容更燦爛。
治療前
治療後
治療前
治療後
治療前
治療後
治療前
治療後
治療前
治療後
治療前
治療後
治療前
治療後
Picture of 許家樺醫師

許家樺醫師

身為齒顎矯正專科醫師,我期許自己保持著細膩度和同理心去面對我的病人,並且不斷精進齒顎矯正學術和技術上的細節,提供病人更全方位的治療。

關於許醫師 »
Picture of 許家樺醫師

許家樺醫師

身為齒顎矯正專科醫師,我期許自己保持著細膩度和同理心去面對我的病人,並且不斷精進隱形矯正學術和技術上的細節,提供病人更全方位的治療。

關於許醫師 »
error: Content is protected !!