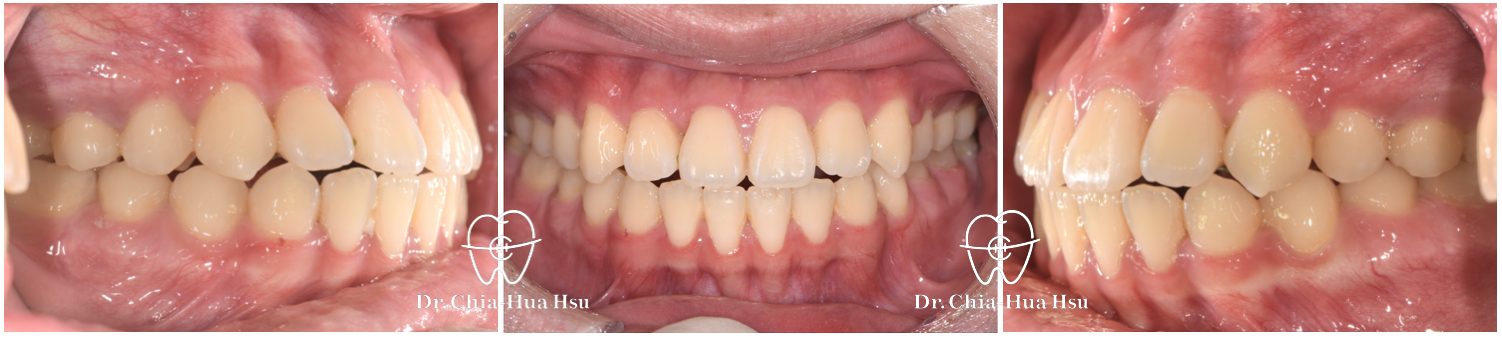
- 病患(家長的)主訴:齒列擁擠、齒列不正。
- 問題分析:患者初次來診時只有10歲,主要問題是齒列擁擠、齒列不正,以及上顎牙弓過窄。
- 治療方式:先使用上顎擴弓器將上顎撐寬,再配合傳統金屬矯正器與拉口內橡皮筋的方式來排齊齒列。
- 治療時間:2 年 2 個月。
- 治療結果:改善齒列擁擠、齒列不正,並誘導上下顎骨適當地發育。
治療前
治療後
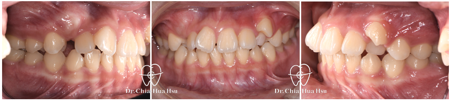
治療前
治療後
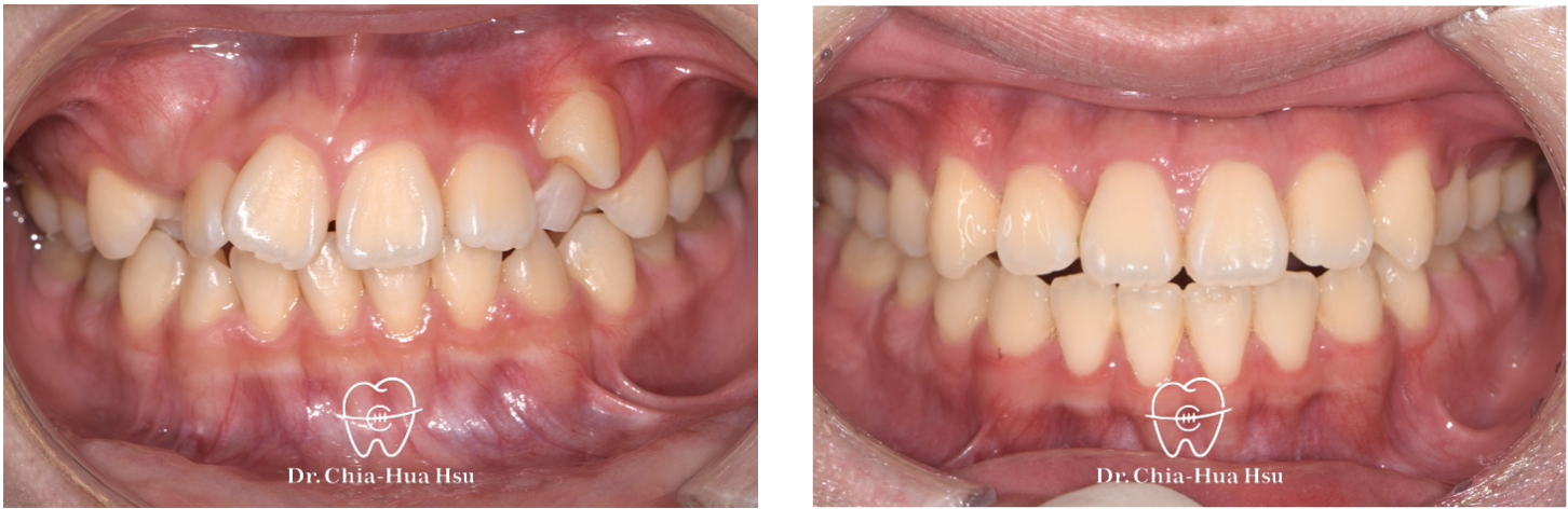
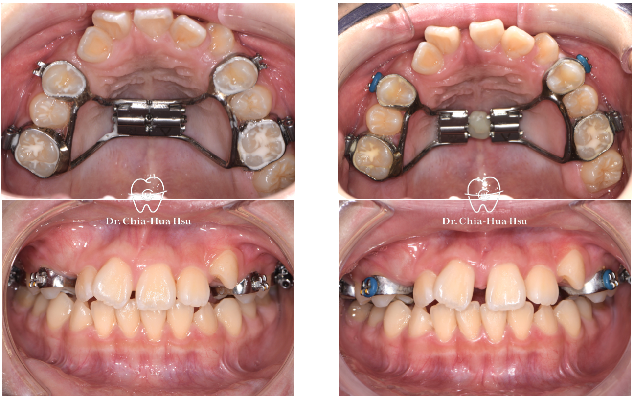
上顎擴弓前
上顎擴弓後
使用上顎擴弓器將上顎牙弓撐寬,一天兩轉(早晚各一次),每轉一次大概可以撐寬 0.25 cm。
大概二至四週後,門牙之間會有明顯縫隙出現,代表上顎骨縫有成功撐開!上顎撐寬後,就可以把擁擠的牙齒排進牙弓中囉!
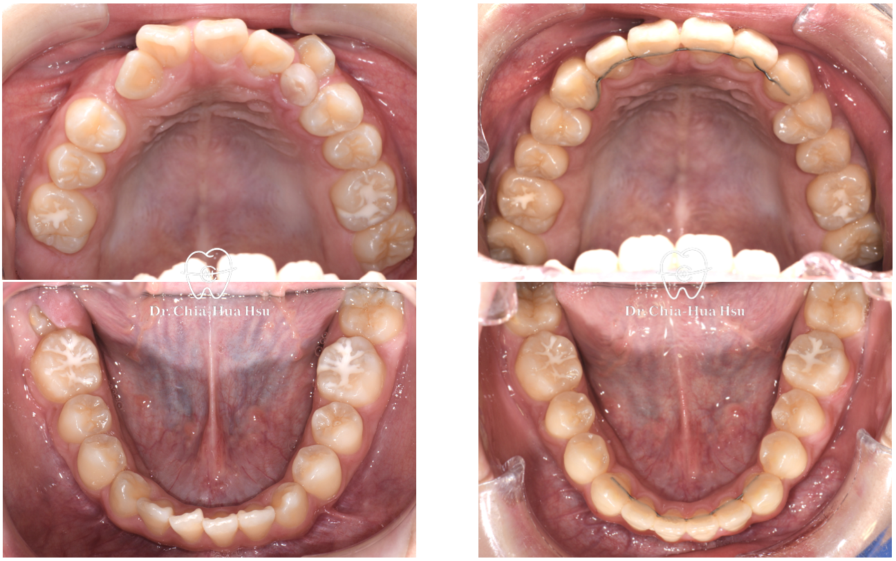
治療前
治療後
治療前
治療後