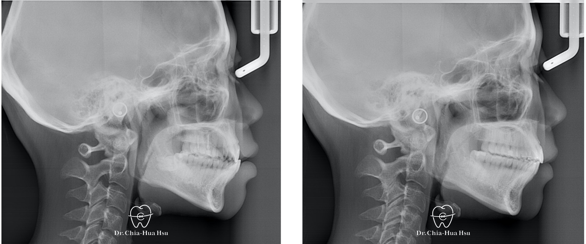
- 患者最初是暴牙,在其他診所做了三年的矯正治療後,被做成前牙反咬,與前一位醫師溝通不順利,於是再次尋求矯正治療。
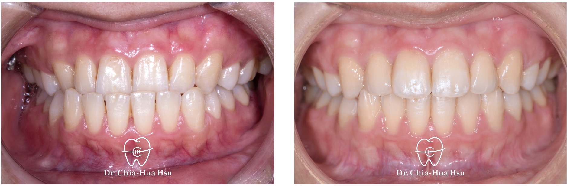
- 病患主訴:前牙錯咬、再次矯正治療。
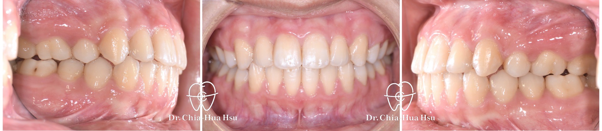
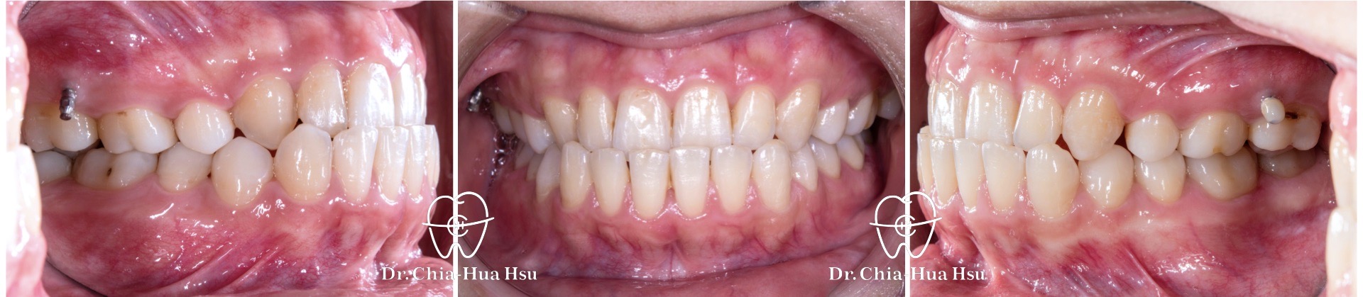
- 問題分析:患者有前牙錯咬(反咬)、後牙錯咬的問題。
- 治療方式:使用傳統金屬矯正器,使用原有骨釘將上顎牙齒前移,迅速將療程結束。
- 治療時間:1 年 3 個月。
- 治療結果:齒列排齊,笑容更燦爛。
治療前
治療後
治療前
治療後
治療前
治療後
治療前
治療後
治療前
治療後
治療前
治療後
治療前
治療後